环保试剂在胸腹水细胞蜡块制作中的应用
环保试剂在胸腹水细胞蜡块制作中的应用
付海洋 王成勤 赵洁
青岛大学医学院附属医院病理科 青岛大学医学院病理学教研室
【摘要】目的 探讨细胞快速石蜡法在胸腹水诊断中的应用。
方法 对送检胸腹水进行常规涂片处理和快速石蜡处理,对结果进行比较。
结果 经环保试剂处理后的细胞蜡块不仅可行多项免疫组化染色,提高阳性率,而且大大缩短了报告时间。此法优于LCT和TCT法,优于常规直接涂片法。
【关键词】胸腹水,细胞蜡块,环保试剂,免疫组化
随着恶性肿瘤发病率的提高,胸腹水的检查因其简便、快速、易行等优点而越来越普遍,但是,常规胸腹水涂片的阳性率普遍偏低,涂片上肿瘤细胞量少且不适用于后期的免疫组化鉴别诊断,对肿瘤疾病的鉴别诊断带来了一定的困难。本文采用细胞蜡块环保快速石蜡制作法,不仅大大提高了其阳性结果的准确率,而且缩短了制作时间,并可应用免疫组化行鉴别诊断,其方法如下:
1、材料
收集我院2012年1月至2012年3月病人送检的胸腹水标本20例。仪器佛山钧镒JYCL—2型超声处理仪。脱水透明及HE染色试剂为哈尔滨格林标本技术开发有限公司提供的环保脱水透明试剂及环保HE染色套液。
2、方法
将送检的胸腹水静置1小时,弃去上清液,留取底层胸腹水50ml左右,用吸管取1—2滴制作细胞涂片,置于95%酒精中固定15min后HE染色。剩余的沉淀置于2—4个试管中离心,2000—3000r/min,10min,视离心沉淀量多少进行二次离心或多次离心,以沉淀量不至于太少为准。弃去上清液,加5—10倍量10%中性缓冲甲醛固定液,将细胞轻轻打散后再次离心,以便充分固定,离心后弃去固定液,滴加新10%中性缓冲甲醛固定液固定30—60分钟,之后将细胞块取出用纱布包好进行蜡块制作。对于细胞量较少的标本可加入少许蛋白甘油后再加入无水乙醇10—15ml,混合均匀后再离心,倾去上清液后将沉淀物取出再行处理[1]。制备流程为:①10%中性缓冲甲醛固定液超声处理仪处理15min 后水洗;②格林环保型脱水试剂Ⅰ、Ⅱ及透明试剂处理各45℃ 12min;③浸蜡时间可视标本量的多少适当灵活掌握,一般为62℃10-20分钟;④常规石蜡包埋、切片、格林环保HE试剂染色及鉴别诊断。
3、结果
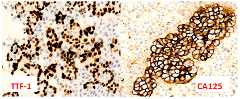
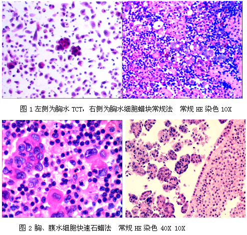
用细胞蜡块制备的切片细胞数目明显增多,尤其是肿瘤细胞,组织结构完整,切片厚薄均匀,与常规组织切片相比,无明显差异。对诊断为癌的细胞蜡块进行免疫组化鉴别诊断,染色结果均能较好的表达。如图1为同一例标本的两种不同做法;图2为细胞蜡块快速石蜡法;图3为快速石蜡细胞蜡块免疫组化染色
4、讨论
4.1胸腹水常规检查的方法很多,除离心直接涂片法外,通过技术设备的不断改进,目前比较普遍的方法有LCT和TCT法,经其制作的涂片细胞比较集中,分布均匀,形态清晰,且提高了其阳性诊断率,然而由于其负载的肿瘤细胞少,有时出现细胞成团、重叠、挤压等现象,而影响病理诊断,且不能满足后期的免疫组化鉴别诊断。经细胞蜡块制作的切片除具有上述优点外,因经多次离心,增加了细胞的数量,并可连续切片进行免疫组化染色,相比而言更适合临床病理诊断的需求。
4.2在其细胞固定上我们采用了10%中性缓冲甲醛固定标本。另外使用环保试剂之前用甲醛固定的细胞标本除能较好地保持细胞的形态,对细胞核进行固定外,更重要的是能较好的保存细胞中的大多数抗原以便行免疫组化检查。但甲醛渗透速度较乙醇慢,本文在前固定的基础上又利用超声波进行了后固定,加速了甲醛对细胞的渗透和固定,再行脱水透明处理,使HE染色和免疫组化染色都能较好的表达。
4.3常规制备蜡块制作时间需要15-20小时,加上免疫组化染色病人往往要等3-5天才能拿到报告。而本文选用了快速石蜡制作方法,制作时间一般在3小时,大大缩短,提高了工作效率,加上免疫组化染色病人一般第二天就可得到结果,且制片质量与常规HE相比无差别。对于血细胞量较多的胸腹水有文献指出可用低渗氯化钾液和甲醇或50%乙醇进行破坏[3],但本文不建议破坏红细胞以免造成未知原因的肿瘤细胞破坏和其他细胞形态和排列方式改变。另外快速石蜡制备试剂为环保试剂,相比二甲苯,对技术工作者来说有益于身体健康,是一项值得推广的技术。
4.4普通涂片制作过程中吸取的少量胸腹水不能代表整个胸腹水的状况,且制作完毕之后剩余的胸腹水往往被遗弃,不能重复利用。而胸腹水细胞蜡块可以收集整个胸腹腔水中的细胞,且包埋时把细胞块轻柔打散平铺在一个层面上,以便观察大部分细胞的形态;另外细胞蜡块可以很好的保存,方便后期的管理和质控,因此值得病理技术工作者推广。
参考文献:
[1] 王德田,董建强. 实用现代病理学技术[M]. 北京:中国协和医科大学出版社,2012:324
[2] 王德田,董建强. 实用现代病理学技术[M]. 北京:中国协和医科大学出版社,2012:7
[3] 侯建丽,白荣,于淼.胸腹水脱落细胞学检查方法的改进[J].内蒙古医学杂志,2006,38(11):1042-1043
下载地址:

登陆会员
注册会员


下载中心
病理论坛在线咨询