GS组织标本固定脱水系列套装试剂在全自动组织处理机中的应用体会
GS组织标本固定脱水系列套装试剂
在全自动组织处理机中的应用体会
何金 朱维健 徐毅 王渊
第二军医大学长征医院病理科
采用甲醛固定、乙醇脱水、二甲苯透明、石蜡包埋和切片、苏木精—伊红染色的常规病理技术自创建以来已有100多年的历史,至今仍在临床病人和医学研究中广泛应用。在传统的石蜡切片制作和染色中要广泛应用到甲醛和二甲苯,我们知道甲醛、二甲苯均是无色透明的化学试剂,它易挥发、具有高度的刺激性和腐蚀性,国内外医学研究以证明,人体皮肤直接接触甲醛、二甲苯会引起过敏反应、皮肤炎或湿疹,长期接触的人群,其体内白细胞数量明显下降,严重时可能会引起慢性呼吸系统疾病、癌症发生,如鼻咽癌、结肠癌、脑瘤、白血病,还会导致记忆力和智力下降。因此在2004年WHO正式宣布甲醛、二甲苯为致癌物质,同时提醒人们要重视其致癌性,并采取预防措施。
近年来随着人们环保意识的增强,对生存环境和生活质量都有了更高的追求。广大病理工作者也更加意识到常规工作中使用的甲醛和二甲苯存在着对职业工作环境和排放后生活环境的毒害和污染。哈尔滨格林标本技术开发有限公司顺应民意和市场需求,在2008年研究了一套替代技术取代石蜡包埋切片技术中甲醛和二甲苯毒害试剂的使用,并且通过多项毒理学实践和多家医院的试用鉴定。在2009年全国病理技术进展和应用研讨会上,北京大学人民医院董建强老师在大会上介绍《格林标本——新一代环保型病理组织标本固定脱水透明试剂试用报告》,参会人员对此事都很感兴趣,为此2010年1月在无锡召开的上海市病理技术年会特地邀请董坚强和王德田二位老师给大家作了生动、精彩、详细的专题报告,我们对GS标本试剂有了更多的了解,也增加了我们使用环保试剂的信心,在2010年3月份选择将GS标本组织固定脱水套装试剂引入到我院的常规工作中使用。
1. 材料和方法
1.1 标本
******周初期试用时选用较大的外科手术切除标本107例,经中******尔马林固定后在同一病变部位各取材两块,一组采用传统酒精、二甲苯脱水透明的方法;另一组采用环保试剂脱水透明的方法。第二周开始大批量应用于临床送检的各种活体组织病理标本,每天将常规取材的102个组织块放入采用格林组织固定脱水套装试剂的全自动组织处理机进行脱水透明浸蜡,连续使用了24周,共处理了12240个组织块。
1.2 试剂
选用GS标本组织固定脱水套装试剂代替传统脱水机中使用的酒精、二甲苯,该套装试剂中包含组织固定剂、组织脱水剂Ⅰ、组织脱水剂Ⅱ、组织透明剂、浸蜡Ⅰ、浸蜡Ⅱ 6种试剂。
1.3 方法
1.3.1 传统酒精脱水、二甲苯透明、浸蜡制片法组织经常规10%中******尔马林固定,取材后将组织块放入SHANDON全自动组织处理机,常规处理程序如下,(1)95%酒精0:30;(2)95%酒精0:30;(3)95%酒精0:30;(4)纯酒精1:00;(5)纯酒精1:00;(6)纯酒精1:00;(7)纯酒精1:30;(8)纯酒精2:00;(9)二甲苯0:30;(10)二甲苯0:30;(11)蜡A 0:30;(12)蜡B 0:30;(13)蜡C 0:30;(14)蜡D 1:30。常规石蜡包埋,切片厚4微米。
1.3.2 初期试用时格林组织固定脱水套装试剂制片法 在初期试用时同一例组织经常规10%中******尔马林固定,在同一病变部位取材后将另一个组织块放入装有GS标本组织固定脱水套装试剂的另一台SHANDON全自动组织处理机,组织处理程序如下:(1)组织固定剂 1:00;(2)组织固定剂3:00;(3) 70%酒精0:05;(4)95%酒精0:05;(5)组织脱水剂Ⅰ0:30;(6)组织脱水剂Ⅰ1:00(7)组织脱水剂0:30;(8)组织脱水剂Ⅱ 1:00;(9)组织透明剂1:00;(10)组织透明剂 1:30;(11) 浸蜡|0:45;(12)浸蜡| 0:50;(13)浸蜡Ⅱ0:50;(14)浸蜡|| 1:00.常规石蜡包埋,切片厚4微米。
1.3.3 大批量应用时GS标本组织脱水套装试剂制剂方法 第二周开始每天将日取材的102个组织放入装有GS标本组织固定脱水套装试剂的另一台SHANDON全自动组织处理机,组织处理程序如下:(1)组织固定剂 1:00;(2)组织固定剂2:00;(3)95%酒精0:15;(4)纯酒精0:15;(5)组织脱水剂Ⅰ0:40;(6)组织脱水剂Ⅰ 1:20(7)组织脱水剂Ⅱ0:40;(8)组织脱水剂Ⅰ 1:20;(9)组织透明剂1:00;(10)组织透明剂1:30;(11)浸蜡Ⅰ0:45;(12)浸蜡Ⅰ0:50;(13)浸蜡Ⅱ0:50;(14)浸蜡Ⅱ 1:00.常规石蜡包埋,切片厚4微米。
1.3.4 全自动HE染色方法 所有石蜡切片常规烤片后均用LeicaAUTOSTAINER XL进行全自动HE染色,染色程序如下:(1)烘烤玻片2:00min;(2)脱蜡二甲苯Ⅰ 5:00min;(3)脱蜡二甲苯Ⅱ 5:00min;(4)脱蜡二甲苯Ⅲ 3:00min;(5)纯酒精0:30min;(6)95%酒精Ⅰ 0:30min;(7)95%酒精Ⅱ0:20min;(8)70%酒精0:20min;(9)流水冲洗1:30min;(10)苏木精4:00min;(11)流水冲洗0:45min;(12)1%盐酸酒精0:02min; (13)流水冲洗0:45min;(14)温水蓝化0:30min; (15)伊红染色0:03min;(16)纯酒精Ⅰ0:20min;(17)纯酒精Ⅱ0:20min;(18)纯酒精Ⅲ 0:20 min;(19)纯酒精Ⅳ0:20min;(20)石炭酸二甲苯0:45min;(21)二甲苯|0:20min;(22)二甲苯Ⅱ0:20min;(23)二甲苯Ⅲ0:20min;(24)退出。取出切片后常规中性树胶封片。
2. 结果
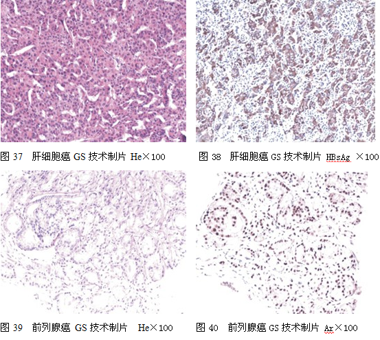
2.1 同一例标本二种不同脱水方法的HE染色比较同一例标本采用二种不同脱水方法的组织块在包埋时就感觉到不一样,常规脱水、透明的组织块脆硬,包埋时易碎裂;GS标本组织固定脱水套装试剂处理的组织块软硬适中便于包埋。在切片时不论组织大小环保试剂处理的组织块也更好切,特别是肌瘤、皮肤和骨组织等坚硬的组织块比常规脱水的组织块更容易切片。同一例标本二种不同脱水方法的切片同一染色架进行HE染色,GS组织标本固定脱水套装试剂处理的切片组织红蓝适度、核浆对比分明,色彩鲜艳、结构显示清晰,明显优于传统方法制片的HE染色(图)。
2.2 同一例标本二种不同脱水方法的组织切片免疫组化染色比较 在107例标本中有胃癌、食管癌、肾癌、肝癌、肠癌、乳腺癌、胶质瘤、淋巴瘤等26例,对其进行了38项抗体共176个指标的免疫组化对比染色,两者免疫组化染色结果是相符的,无论是阳性表达部位还是阳性细胞数都没有明显差别,部分GS标本组织固定脱水套装试剂处理的切片免疫组化结果阳性细胞表达显著、定位准确、背景也清晰,要优于常规脱水处理的切片(图)。
2.3 大批量应用于格林标本组织固定脱水套装试剂制片结果 经过一周107例标本二种不同脱水方法的组织切片HE染色和免疫组化染色比较,3位教授和2位主治医师阅片后一致认为均优于常规脱水的切片,于是展开了24周的GS标本组织固定脱水套装试剂大批量应用,每天将上午取材的102个组织块放入装有GS组织标本固定脱水套装试剂的另一台SHANDON全自动组织处理机,无论是HE染色还是免疫组化染色都取得了满意的结果,日常病理诊断工作未受任何影响(图)。
3. 讨论
进入21世纪的今天,人类的进步和城市的发展已到了一个新的高度,人们对健康和环境也有了更高的要求,为了社会的可持续发展,也更加认识到环保的重要性。减少或完全替代甲醛和二甲苯毒害试剂的应用,建立一套替代技术取代石蜡包埋切片中毒害试剂的使用是一项意义重大的工作,它不仅是我们每个病理工作者的追求的愿望,也是我们对社会应尽的义务。国内目前见有TO、VAN-CLEAR、WAX-OUT、益利、长岛、宏兹、江源等多种二甲苯替代产品试用报道,其性能各有优劣,但缺乏大标本量的使用报告。哈尔滨格林标本技术开发有限公司经过长时间的研究探索,终于开发出了******首创的全新病理技术平台组织固定脱水套装试剂,它是国内******个专业厂家推出的******套环保型套装系列试剂。该试剂经过毒理学实验和大中型医院试用鉴定,各方面反响均不错,我们在2010年3月也加入到这项有意义的工作中来。
虽然我们听过董老师的二次报告后,对哈尔滨格林标本技术开发有限公司的环保试剂有了深入的了解,但对GS组织标本固定脱水系列套装试剂还是将信将疑。刚开始试用时相当谨慎,毕竟酒精脱水、二甲苯透明的常规石蜡切片已有一百多年的历史,GS组织环保试剂脱水透明的组织制片是否优于传统制片方法也一直有疑问,我们就决定采用较大标本的同一例组织同一病变部位各取材两块,分别用二种不同的组织处理方法制作切片,同批进行全自动染色机HE染色和免疫组化染色对比分析,******天选取4例,第二天12例,第三天18例,第四天32例,第五天41例,一共进行了107例HE对比染色,结果相当满意。GS标本固定脱水套装试剂处理的切片核浆对比分明,色彩鲜艳、结构显示清晰,明显优于传统方法制片的HE染色。同时对这些病例中的26例肿瘤标本对其进行了38项抗体共176个指标的免疫组化对比染色,两者没有明显的差异,部分GS组织标本固定脱水套装试剂处理的切片免疫组化结果阳性细胞表达显著、定位准确、背景也更清晰。我们有位病理医师形象地把常规脱水处理的染色切片比作为标清彩电图像,把GS组织标本固定脱水套装试剂处理的染色切片比作高清彩电图像,平时看习惯了标清彩电图像总感到不错,但看过高清彩电图像后才发现差距这么大。
经过107例标本二种不同脱水方法的对比染色比较,坚定了我们将GS组织标本固定脱水套装试剂大批量应用于常规标本进行组织处理的信心。在24周中每天我们将102个组织块用环保试剂制作蜡块,考虑到这些标本都是上午取材的,取好后又在10%中******尔马林中固定6h以上,我们将脱水机的第二缸组织固定增减少了1h,将二缸究酒精各增加10min,将组织脱水剂Ⅰ、组织脱水剂Ⅱ各增加了30min,这样确保组织脱水彻底,更利于组织透明剂的渗入,组织浸蜡也更充分,******次脱水机装缸时需要双份试剂,每缸放入4L,大约可以处理3500只组织块,第二次更换时只需要将后一缸前移,更新一份试剂就行。在每天使用结束排蜡后,应尽量擦去剩余蜡,如残余蜡较多,工作缸清洗液容易出现白色沉淀,可在去除沉淀后加入适量新液体,这样能延长工作缸清洗液的使用次数。
经过1周时间107例标本二种不同脱水方法的组织切片HE染色和免疫组化染色比较,近半年时间的大批量应用GS组织标本固定脱水套装试剂进行了常规标本组织处理,我们体会到用其制片所做的HE染色和免疫组化染色都取得了满意的结果,能完全满足临床病理诊断的需要,该套环保试剂可以替代传统的酒精脱水、二甲苯透明的石蜡制片技术,可以减少或替代甲醛和二甲苯毒害试剂的应用,降低室内有毒有害气体的污染和毒害,从而杜绝排放此类毒化物对生活环境的污染。GS组织标本固定脱水套装试剂不仅体现了健康、环保的理念,同时也具有优质、******性能,值得在常规病理制片过程中推广应用。

下载地址:

登陆会员
注册会员


下载中心
病理论坛在线咨询