格林环保试剂在全自动组织切片染色机中的应用
格林环保试剂在全自动组织切片染色机中的应用
孙晶 王丽娟 王广宏 彭俊华 侯红梅 李雪燕 王浩
枣庄矿业集团中心医院病理科
摘自:2014年08期《诊断病理学杂志》
全自动组织切片染色机以其机械化的优势在各级医院 病理科逐渐被广泛应用。其良好的工作性能和稳定的染色效果让其在病理工作中得到接受和肯定。我科在应用全自动染色机以来,使用环保试剂于常规染色切片,其染色效率、染色效果都有显著改观,染色质量得到一定提升和较好的保持。
1.材料与方法
1.1 仪器和试剂仪器
日本SAKURA Tissue-Tek DRS全自动组织切片染色机及附带设备。试剂:①格林环保试剂常规染色套液(包括脱蜡液、苏木精、返蓝液、分化液、伊红、除浮染液、除水透明液和透明液);②95%乙醇;③100%乙醇。
1.2 方法常规石蜡HE染色
将标有病理检查编号的 4 ~6 pm厚常规切片依次插入染色架,调温78 ~89尤烘(烤 箱烤片20 min,即可上机染色。一次可染色40张切片,连续 处理时每小时可处理切片约480张,染色液均使用格林环保 试剂。
染色步骤:①脱蜡水洗:环保脱蜡液3步,每步5 min;100%、95%和85%乙醇各3 min自来水洗1 min。②染色分化:环保试剂苏木精3 min,自来水洗1 min;格林环保试剂分化液或0.3%盐酸乙醇分化液2 s,自来水洗1 min 15 s;格林 环保试剂返蓝液1 min,自来水洗1 min;格林环保试剂伊红 3 min,水洗10 s。③脱水透明:85%和95%乙醇各10 s; 100%乙醇3 min X 2;环保除水透明液5 min;环保透明液 5 min X2。④封固:取出染色玻片,稍干燥,使用中性树胶全自动封片机封固。
2.结果
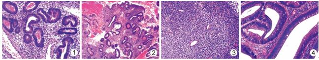
经过格林环保试剂处理的组织切片染色均匀鲜亮,颜色对比度更好、着色更清晰,镜下核浆对比效果好。其中子宫内膜(图1,2)、淋巴组织(图3)、子宫肌瘤和肠组织(图4)等组织脱水彻底,结构鲜明,切片质量高。切片染色的******、染色质量的稳定,有助于病理诊断工作质量的稳定和提高。
图1子宫内膜组织 图2子宫内膜组织 图3淋巴结穿刺活检组织 图4肠活检组织
3.讨论
传统组织切片染色为人工处理,每批次染色条件及时间受不同技术人员操作的影响会有不同的出入,制作周期长、步骤繁琐、工作量大,尤其在大批量的组织切片处理中,全自 动组织切片染色机就显现出其稳定、******的优势。其人性化程序的设定,既保证近批次切片的染色条件较为一致,又保 证根据染液使用的时效来调节时间,利于保持切片染色效果及质量,减少了人为误差,还可以减少人员投入、减轻工作强 度和改善工作环境,既具有稳定性又具有灵活性,同时具有******性。配合使用环保试剂替代传统试剂甲醛、二甲苯等有 毒、有害、易挥发、强刺激的试剂,更能减少有毒试剂对病理工作人员身体的危害,同时减少产生大量废液对环境造成严重污染。在染色步骤中,不要苛求快速,适当、合理的处理时间可以延长试剂的使用寿命,减少更换,在保证质量的基础 上,既降低成本又减少排放。在染色过程中我们总结了几点经验:①环保脱蜡液可根据脱蜡的情况适当延长时间,或从 烘(烤)箱中提出切片后立即放入脱蜡液I中,浸泡数秒再上机,可******凝结在玻片上的小蜡点,脱蜡更彻底;②环保试剂 苏木精在全自动组织切片染色机中使用具有染色时间短、染色时效长、染色质量稳定的优势,长期使用较少出现苏木精沉渣和氧化膜,减少染缸的清洁处理次数,降低试剂消耗;③ 在程序中增加了乙醇可更好地保护环保试剂的纯度,延长试 剂使用寿命。
使用注意事项:①每天开机后检查染缸内试剂量,不足的需添加,失效的需更换,尤其注意检查苏木精是否出现氧 化膜。脱水梯度试剂和脱蜡液可更换******步,后几步依次前移,添加***后一步即可。水化的梯度乙醇需同时更换,其他试剂的更换可根据使用经验和染色效果来适当调节。②水洗槽需每天清理,防止霉变及进水口、出水口堵塞造成对染 色效果的影响。③及时清洁染色缸内、外,防止染液溢溅。④每天擦拭机器表面,注意防尘。
参考文献
[1] 孙淑芬,马福成,李江,等.染色的基本原理/生物染料和苏木精伊红染色方法[A].见:王伯沄,李玉松,黄高升,等.病理学技术[M].北京:人民卫生出版社,2000:130 -134.
下载地址:/uploadfile/file/20170811/20170811171314_84520.doc

登陆会员
注册会员


下载中心
病理论坛在线咨询