GS环保型病理组织标本固定脱水透明试剂应用报告
GS环保型病理组织标本
固定脱水透明试剂应用报告
王德田 董建强
北京协和医院 北京大学人民医院
采用甲醛固定、乙醇脱水、二甲苯透明、石蜡包埋的石蜡包埋切片和苏木素染色技术自十九世纪创立以来(1860-1870年)一直沿用至今。是一个良好的组织病理学技术方法。但是以今天的眼光来看,传统石蜡切片制作和染色方法中使用的甲醛和二甲苯存在着对职业工作环境和排放后对生活环境的***害和污染。近年来随着人们环保意识的提高,人们对洁净的饮水、食品安全、符合健康要求的家居环境极为重视并想方设法不惜以较为高昂的代价获得绿色健康的生活空间。因此,减少或完全替代甲醛和苯系化学***害试剂的使用,建立一套替代技术取代石蜡包埋切片技术中上述***害试剂的使用是一项意义重大的工作。近十年来,国内外相继推出了数种甲醛和二甲苯的替代品,这些产品或因功能单一不成系统、或因效能不高达不到技术要求、或因价格较高不利普及。但是总结近年来会议交流和文献报道,可以看出这些替代产品的推出和试用代表了方向也积累了局部的使用经验。
格林标本推出的组织固定脱水系列套装试剂和HE染色系列套装试剂是国内******个专业厂家推出的******套环保型套装系列试剂。2009年3月始我们对格林标本的上述试剂进行了试用和技术测试,现将试用和技术测试的结果报告如下以供大家借鉴和讨论交流。
一、《组织固定剂》
1. 密封瓶装、为微******透明液体基本无味。
2. 《组织固定剂》既可以用于各种手术切除病理标本及各种活检标本的固定也可用于标本取材后组织脱水过程的后固定。
3. 《组织固定剂》的穿透速率与甲醛相比大致相同,对组织细胞形态的固定效果良好,可以替代甲醛对病理标本进行固定。对于手术切除的大标本,建议执行与使用甲醛固定标本的技术规范。固定剂的使用量应为标本体积的4-6倍并应切开固定。
4. 《组织固定剂》在组织脱水机上作为后固定剂使用时,后固定时间与使用标准缓冲甲醛相同。与甲醛相比,该固定剂即使较长时间的后固定也不致使组织块过度硬化。
5. 《组织固定剂》在组织脱水机上作为后固定剂使用时,组织块的处理量在组织取材平均大小为1.5X1.2X0.4cm标准情况下为每1000毫升处理800到1000块组织。
6. 对于使用甲醛固定的标本取材后使用该固定剂进行后固定,组织细胞的固定效果大致相同。
二、组织固定脱水系列套装试剂
1. 该系列套装试剂由 组织固定剂、组织脱水剂I、组织脱水剂II、组织透明剂、和石蜡组成。
2. 组织固定剂的性能和使用如前述。组织脱水剂I、组织脱水剂II、为淡******透明液体,略有醇类气味。组织透明剂为无色透明液体,基本无味。石蜡为纯净块状固体。
3. 本套试剂系列组合共同完成对组织标本的固定、脱水、透明、浸蜡的组织处理功能。在试剂技术测试的过程中我们已累计处理了11万个以上的各种人体组织标本和8200个以上的不同种类的动物实验标本和活检标本。包括:裸鼠、小鼠、大鼠、和山羊、兔、***、猫、猴,以及肾穿刺活检组织、肝穿刺活检组织、前列腺活检组织。
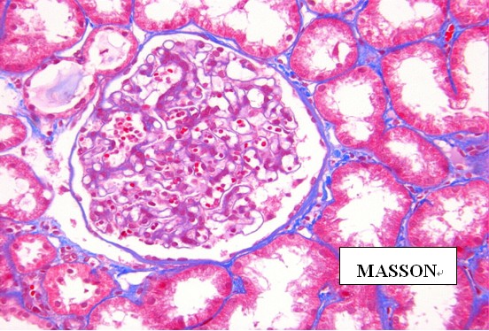
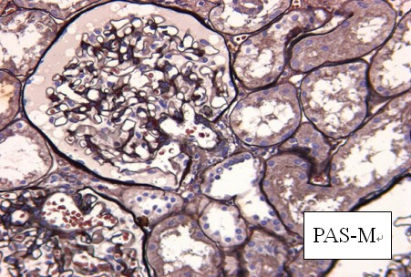
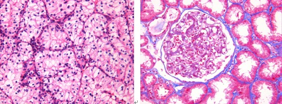
4. 组织固定脱水系列套装试剂的组织处理效果:大量多种类不同组织类型的组织脱水实验结果证明,该系列试剂在替代了传统的甲醛和二甲苯的情况下可以良好地保存组织细胞的形态结构,并完成对组织标本的脱水透明和浸蜡过程。包埋后的组织块可以顺利的切制3微米的石蜡切片,对于肾脏穿刺活检标本可以顺利地切制1微米的石蜡切片。

5. 组织固定脱水系列套装剂的组织处理能力:由于该系列试剂中的组织固定剂本身含有固定和脱水的双重功能,因此该套试剂的组织脱水能力较强,试验证明每升试剂可以处理800-1000个标准组织块。
6. 组织固定脱水系列套装试剂的宽容度:该系列套装的组织处理宽容度较高,试验中特意选取了3X4X0.6cm的肾脏肿瘤标本和肾穿刺、肝穿刺活检标本同时进行脱水包埋,结果肾脏肿瘤标本硬度柔韧度适中可以顺利地切制3微米的石蜡切片。肾穿刺和肝穿刺活检标本也未出现组织处理过硬的现象且能够顺利地切制1微米的石蜡切片。此外,经该系列试剂处理包埋的硬韧组织如子宫肌瘤组织、皮肤组织具有较好的柔韧度有利于切片并较大幅度节省切片刀片。
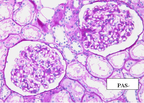
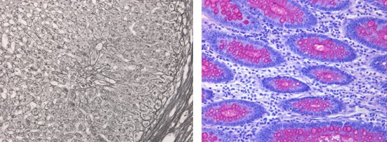
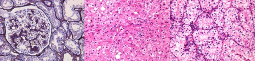
7. 组织固定脱水系列套装试剂的特殊组织染色实验:经该系列试剂脱水包埋制备的组织切片可以良好的进行特殊染色。
糖原染色
网状纤维染色 粘液染色
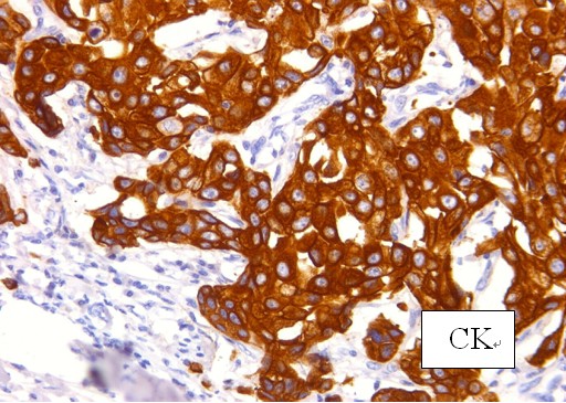
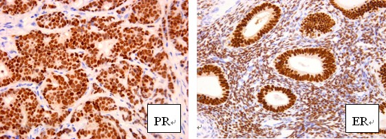
8. 组织固定脱水系列套装试剂的免疫组织化学实验:免疫组织化学染色已经是肿瘤病理诊断和鉴别诊断的重要工具,该系列试剂的技术测试实验证明,经该系列试剂脱水包埋制备的组织切片用于临床病理诊断和鉴别诊断常用的几十种常用一线和二线抗体的免疫组织化学染色均能获得良好的染色结果。

9. 组织固定脱水系列套装试剂的脱水机使用方法:由于该系列套装试剂由 组织固定剂、组织脱水剂I、组织脱水剂II、组织透明剂和浸蜡液Ⅰ、浸蜡液Ⅱ六种试剂组成。因此,在使用不同类型的自动组织脱水机进行组织处理的情况下会出现脱水机试剂槽空槽问题。在实际使用中可以采用以下方法解决:
A 双置法---即将 组织固定剂、组织脱水剂I、组织脱水剂II、成双排列使用,对于成双排列使用后仍然存有空置脱水试剂槽的脱水机,可以在组织固定剂后面灌装75-80%的乙醇加以解决。
B 空载法---许多自动组织脱水机的控制软件都可以将不欲使用的试剂槽的处理时间设置为“00:00”,使用该方法的情况下将脱水程序中空置的试剂槽的脱水时间设置为00:00即可。采用以上两种方法均可以解决空槽问题达到良好的组织处理目的。根据技术测试试验的体会,采用A 法可使该系列试剂的组织标本块处理能力在原有处理能力的基础上提高30-50%。
10. 组织固定脱水系列套装试剂的脱水方案:
A 使用自动组织脱水机利用本系列组织脱水试剂进行组织脱水处理时,如采用 空载法 须将所采用的组织脱水程序中组织脱水的时间按比例平均分配到组织脱水剂I 和组织脱水剂II、其余试剂处理的时间不变。
B 采用 双置法 的情况下不需更改原使用的脱水程序。
使用双置法的组织脱水方案(Leica-ASP200)
储槽 试剂 外检标本 大动物 大小鼠 穿刺活检
1号 组织固定液 1 60分 20分 20分 10分
2号 组织固定液 2 180分 30分 20分 10分
3号 75%乙醇 5分 50分 30分 20分
4号 90%乙醇 5分 50分 30分 20分
5号 组织脱水液 I 30分 60分 30分 20分
6号 组织脱水液 I 60分 60分 30分 20分
7号 组织脱水液 II 30分 30分 30分 20分
8号 组织脱水液 II 60分 30分 30分 20分
9号 组织透明液 1 60分 30分 20分 20分
10号 组织透明液 2 90分 30分 20分 20分
组织浸蜡液 I 120分 20分 10分 10分
组织浸蜡液II 90分 30分 20分 10分
580C 切片石蜡 60分 30分 20分 10分
脱水程序时长 14小时 8小时 5小时 3小时30分
11号 工作缸清洗液 I 自动标准清洗程序
12号 工作缸清洗液 II 自动标准清洗程序
13号 无水乙醇 自动标准清洗程序
该系列试剂套装为使用自动组织脱水机的用户配置了无苯的脱水机管路及反应器清洗剂。实验证明该清洗剂可以替代二甲苯对脱水机管路及反应器进行良好的清洗,在试验进行至今的时间内未见对实验使用的SAKURA 和 LEICA 自动组织脱水机的试剂储槽、反应器及管路系统造成不良影响。
三、HE染色系列套装试剂
1. HE染色系列套装试剂的物理性状与脱水系列大致相同。
2. 苏木素染色液和伊红染色液的染色力强,颜色鲜艳。
3. 无苯型脱蜡剂在室温2X5分钟切片脱蜡的条件下可以对组织切片进行良好的脱蜡,(组化染色建议3X5分解脱蜡)。
4. 利用该系列染色试剂采用自动组织染色机方法进行染色时,由于使用现有的不同类型的自动组织染色机同样会出现染色试剂槽空置的问题,建议采用以下方法加以解决:切片脱蜡可以采用3X5分钟、在切片脱蜡后的每个空置染色试剂槽中灌装95%乙醇、在苏木素染色并水洗后保留分化水洗步骤、在组织切片进行透明处理前增加无水乙醇1到2个步骤然后进行切片透明封固。
5. 染色系列试剂中的无苯型封片胶透明度及封片效果良好可以替代传统以二甲苯为溶剂的封片胶封固切片,减少室内的***害气体污染。
格林标本---推出的组织固定脱水系列套装试剂和HE染色系列套装试剂是国内******个专业厂家推出的******套环保型套装系列试剂。经上述实际技术测试结果显示:该系列试剂完全可以替代传统的以甲醛二甲苯为主体的石蜡切片技术流程,减少室内有***有害气体的污染和***害作用同时杜绝大量排放此类***害化学物质对生活环境的污染。期望广大病理界的同道们积极的参与到此类新型环保试剂的应用和技术实践中来,为此类新型环保型试剂技术性能的提高和不断完善提供更加充分详实的技术信息和使用经验。
下载地址:

登陆会员
注册会员


下载中心
病理论坛在线咨询