探讨减少甲状腺滤泡中胶质引起石蜡切片皱缩的方法
探讨减少甲状腺滤泡中胶质引起石蜡切片皱缩的方法
薛晓伟 李星奇 王德田 钟定荣
中国医学科学院北京协和医院病理科
摘自:2014年第03期《诊断病理学杂志》
甲状腺滤泡中的胶质不含细胞,因此对病理诊断没有什么帮助。笔者在工作中发现,滤泡中的胶质在石蜡切片中常常出现皱缩、破裂的现象,而胶质不影响诊断,往往从诊断 医师那里得不到切片质量差的反馈,于是该问题容易被忽略。但是随着病理技术的日益发展、图文分析系统的引进, 皱缩、破裂的甲状腺病理图像势必影响了病理报告的质量。为了使病理报告更加完美,我们有必要呈现给病理医师更优质的病理切片,以获取完美的病理图像。
1.材料与方法
1.1材料
实验用甲状腺组织均取自北京协和医院病理科,组织包埋用石蜡为LEICA产品,HE染色试剂为GS环保型试剂,其他试剂为国产分析纯。
1.2方法
组织取材后移入LEICA PELORIS自动脱水机进行脱水处理,隔天取出,进行组织包埋。为比较切片效果,对相同的蜡块进行不同的处理:A:快削快切:B:快削快切+ 湿化蜡面:C:细削慢切+湿化蜡面:D:细削慢切+湿化蜡面 +增加展片时间。GS染色套液进行HE染色。
2.结果
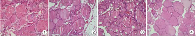
在冷冻剩余组织的石蜡切片中,可以看到明显的“颤痕”(图1,2)。经A、B、C组处理所得到的切片,滤泡中的胶质有破裂现象;D组处理的切片胶质基本完整,切片质量较高(图3,4)。
图1甲状腺组织的冷冻切片
图2甲状腺冷冻剩余组织的石蜡切片
图3经A、B、C组处理得到的切片
图4经D 组处理得到的切片
3.讨论
日常工作中,甲状腺组织的石蜡切片中滤泡胶质破坏较 严重,影响了切片的美观。于是我们就这个问题展开了分析,首先观察了一批同一病理号的甲状腺冷冻切片,冷冻切片中的甲状腺滤泡形态完整,而冷冻剩余组织一旦走完脱水程序制成石蜡切片,滤泡的形态就受到破坏。甲状腺滤泡中的胶质主要成分是滤泡上皮细胞的分泌物,呈胶胨样,质地黏稠一旦进行脱水处理后质地会变脆,因而在冷冻切片中胶质的形态可以保持完整,而石蜡切片中就会出现皱褶。
甲状腺组织经过脱水变得比较干燥,质地较脆,采取湿化蜡面的方法确实能够减少由于组织干燥所造成的“颤痕”;另外,粗削组织会造成蜡块切面过热,同时切面不光滑,也容易造成质脆的物质破裂、出现皱褶等,而影响切片质量。因此,细削有利于保证蜡面光滑,避免皱褶的产生。轮转式切片机应用的是丝杆原理,也就是将操作人员的旋转运动通过内部螺丝的转换,变成切片的上下运动使因此匀速的螺旋运动,切片刀匀速接触蜡面,有利于获得厚薄均匀的蜡片, 同时也避免了因用力不均而导致的胶质样物质的破裂。
参考文献
[1] 邹仲之.组织学与胚胎学[M].第8版.北京:人民卫生出版社,2004,138 -139.
[2] 王德田,董建强.实用现代病理学技术[M].北京:中国协和医科大学出版社,2012.61-62.
[3] 王宏涛,赵转萍,赵雪冬,等.滚珠丝杠螺距误差补偿法提高数控机床定位精度的研究[J].航空精密制造技术,2001,37(5) :2-4.下载地址:

登陆会员
注册会员


下载中心
病理论坛在线咨询