异丙醇替代二甲苯在快速脱水程序中的应用
异丙醇替代二甲苯在快速脱水程序中的应用
薛晓伟 李星奇 王德田 钟定荣
中国医学科学院北京协和医院病理科
摘自:2014年02期《诊断病理学杂志》
病理标本送至病理科,经过常规脱水染色程序后,才能进行诊断,这个过程往往需要3 ~5天。随着小标本的数量增加,该脱水程序已不适合临床对病理报告发放时间的要求。本文探讨使用异丙醇替代二甲苯作为组织透明剂,应用于小标本的快速脱水。
1.材料与方法
1.1 材料
选取北京协和医院7月临床送检的结肠等20 余例手术大标本。全自动封闭式脱水机peloris II 2台,染色试剂为GS环保型染色套液,其它试剂为国产分析纯,石蜡 LEICA (58℃ ~60℃)。
1.2 方法
送检的大组织病理标本,经病理医师模拟结肠镜在每份标本的相同部位钳取2份,随机分为1h组和常规 组。1 h脱水程序:4%甲酸1 min, 85%乙醇1 min和6 min (55℃),乙醇/异丙醇混合液(4:1) 1 min和6 min (55℃ ),异丙醇 1 min X2,异丙醇 12 min (55℃),石蜡 20 min 和 5 min (85℃),石蜡1 min (65℃)。常规脱水程序(略)。程序完成 后,分别进行石蜡包埋,3 ~4 μm切片,GS环保型试剂HE染 色,GC-)2封片胶封固。
2.结果
2.1 两组蜡块质量比较
经多次实验验证,经1 h脱水程 序的小组织透明效果较好,硬度适中,蜡块容易切出3 ~4 μm切片,切片完整无裂痕。与传统试剂长时间脱水程序无明显差别。
2.2 染色效果比较
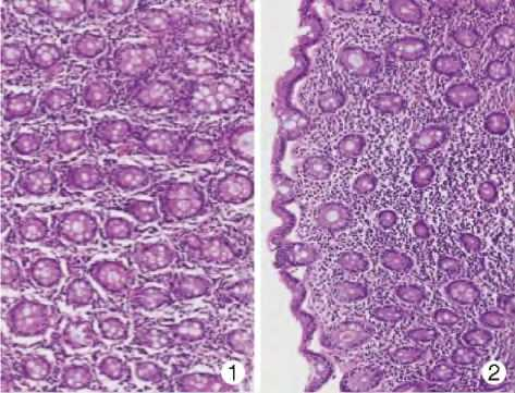
经1h脱水程序制作的切片,HE染色后切片组织完整,厚薄均匀,核浆分明,符合优良片的标准 (图 1,2)。

图1为1h程序 图2为常规程序
3.讨论
病理科使用的透明剂二甲苯,因其价格低廉、透明效果好,常规应用于脱水和染色程序中。但是,二甲苯对************系统具有慢性毒性作用。近年来,多种二甲苯的替代剂相继出现,本实验中采用异丙醇作为快速脱水程序中的透明剂使用,采用GS环保型染色套液进行染色,取得了较好的效果。由于异丙醇处理组织过程中的重要作用是软化组织,且对组织收缩作用较大,为避免组织由无水乙醇入 异丙醇造成的组织骤缩,本次实验特别设计了省去无水乙醇,采用两步乙醇/异丙醇4: 1混合液的方法。结果证明,组织没有出现明显的骤缩。同时,在HE染色过程中使用GS 环保型试剂,取得良好的制片效果,说明GS环保型试剂可以应用于快速脱水处理的切片染色中。
总之,异丙醇作为透明剂应用于快速脱水程序中是可行的,GS环保型试剂适用于快速脱水的组织切片染色,染色质量优良。快速脱水程序不仅能够病理标本的个性化处理,减少患者病理报告等待时间,更重要的是对病理从业人员的二
甲苯接触危害大大降低了。但是,经过异丙醇透明的快速脱水后的标本,特殊染色和免疫组化的质量如何,是我们下一步实验所要探讨的重点。
参考文献
[1] 王德田,董建强,梁志勇.实用现代病理学技术[M].北京: 北京协和医科大学出版社,2012:61 -62.
[2] 龙建洲.异丙醇替代二甲苯在组织透明中的应用[J].检验 医学与临床,2010:2(7) :161 -162.
下载地址:

登陆会员
注册会员


下载中心
病理论坛在线咨询