GS环保试剂在特殊染色中的应用
GS环保试剂在特殊染色中的应用
苗金红 田玉旺 朱红艳
北京市怀柔区中医医院病理科 北京军区总医院病理科
摘自:2013年11期《诊断病理学杂志》
随着新的科学技术的发展和应用,分子生物学方法逐 步代替了许多特殊染色技术,但是由于特殊染色具有简单、快速和成本低的特点而一直被应用至今。传统病理切片处理试剂中二甲苯等物质对人体危害极大,近年来随着人们环保意识的提高及对自身健康的日益关注,实验操作环境越来越受到重视。我科室使用了格林 GS 新型环保试剂替代传统病理试剂,进行特殊染色,并与传统试剂处理结果相比较,现将应用体会介绍如下。
1. 材料与方法
1.1 材料
选取我科常规活检组织,包括胃、肝等,均采用4% 中性甲醛固定,统一脱水、包埋。组织切片厚度 4 μm,并 将同一块组织切片分成2 组,分别用传统病理切片试剂和格 林 GS 环保染色套液进行处理。(1) 传统病理切片染色试剂: 二甲苯、梯度乙醇、苏木精、1% 盐酸乙醇、氨水和伊红; (2) GS 组织切片染色套液: 脱蜡液、苏木精染色液、分化液、 伊红染色液、除水透明液和透明液; (3 ) 特殊染色的试剂:PAS 染色、网状纤维染色、AB- PAS 染色、抗酸染色、六胺银 染色、刚果红染色、Masson 三色染色、亚甲蓝染色等。
1.2 方法
(1) 常规石蜡切片;(2) 切片经二甲苯Ⅰ、Ⅱ脱蜡各5min;(3) 梯度乙醇脱苯,流水冲洗;(4) 按照特殊染色的操作步骤进行染色;(5) 梯度乙醇脱水;( 6) 经二甲苯Ⅰ、Ⅱ透明各 5min;(7) 中性树胶封片。
GS 病理切片染色方法: ( 1) 常规石蜡切片; ( 2) 切片经脱蜡液 Ⅰ、Ⅱ各处理 5min; (3) 梯度乙醇处理,流水冲洗;( 4) 按照特殊染色的操作步骤进行染色;( 5) 梯度乙醇脱水;( 6) 除水透明液 2min;(7) 透明液Ⅰ、Ⅱ各 2min;(7) 中性树胶封片。
2. 结果
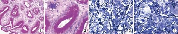
格林 GS 组织切片染色试剂在多种特殊染色中的染色质量和传统病理染色试剂相同,完全可以替代传统病理染色 试剂,见图 1 ~ 4。
图 1 传统病理切片处理试剂 PAS 染色
图 2 GS 组织处理试剂 PAS 染色
图 3 传统病理切片处理试剂 网织纤维染色
图 4 GS 组织处理试剂 网织纤维染色
3. 讨论
特殊染色技术目前已经成为病理诊断和鉴别诊断不可染缺少的重要工具。但传统切片处理方法中使用的二甲苯等试剂对人体健康和环境都十分有害。二甲苯作为***常用的芳香族化合物被大量应用于病理组织处理和染色过程中,其毒害主要是吸入或经皮肤吸收,短期内吸入高浓度二甲苯可出现上呼吸道明显的刺激症状、眼结膜及咽充血、头晕、恶心、呕吐、胸闷、四肢无力、意识模糊,长期接触还可能诱发癌症。而这些试剂如果不经处理直接排入下水道,会造成环境污染,若进行专业回收则会大大提高科室成本。
我科室使用了哈尔滨格林标本技术开发有限公司研发的新型环保 GS 组织切片染色套液,与传统试剂相比: 新型GS 环保试剂不会对人体健康造成危害,减少了对环境的污染; GS 环保试剂处理的切片脱蜡、脱水效果稳定,未出现脱蜡不足及脱片现象;GS 染色试剂中的苏木精染液不含汞,不需自行配制,便于操作人员健康保护及病理质量控制;GS 染色试剂中的透明剂透明效果良好,保证了镜检质量。
综上所述,新型环保 GS 组织切片染色套液具有实用性和环保性,不仅染色效果稳定可靠,可以替代传统有毒病理试剂,并且无害于人体的健康及环境保护,完全适用于病理诊断所需的特殊染色技术,值得广大病理医师推广使用。下载地址:

登陆会员
注册会员


下载中心
病理论坛在线咨询