环保型病理GS组织样本制备套液与传统试剂的比较
环保型病理GS组织样本制备套液与传统试剂的比较
郭宝强 孔应军 石岩 韩翠霞 李亚龙 张星
临颖县人民医院病理科
摘自:2013年09期《诊断病理学杂志》
常见病理石蜡制电过程中要使用甲醛与二甲苯,它们对人和环境的毒害已经被人们所认识。
为寻找到******、无害的环境型试剂替代甲醛和二甲苯,我们将格林环保试剂与传统试剂进行了HE染色对比实验,以探讨环保型试剂的性能。
1. 材料与方法
1.1 材料
选取临颖县人民医院病理科2011年活检及手术标本200例,其中包括阑尾、胆囊、皮肤、甲状腺、淋巴结、子宫肌瘤、卵巢瘤、宫外孕、淋巴瘤、胃癌、食管癌、乳腺癌、肺癌、肠癌、宫颈CIN等组织标本。GS组织样本制备套液由哈尔滨格林标本技术开发有限公司研制生产;甲醛、二甲苯、乙醇等为市售;HE染液购于贝索公司。仪器设备选用珊顿STP420型全自动脱水机,Leica 2016切片机,TKY~BMB型石蜡包埋机,HBTK包埋专用冷台,TKY-TP摊片机,TKY- KPA烤片机。
1.2 方法
每例标本(未经固定的新鲜标本)按标准取材、大小相同,留2份将其分成2组。******组按GS组织样本制备套液说明书操作流程进行固定、脱水、透明、浸蜡、包埋;另 一组按照传统常规甲醛固定、乙醇脱水、二甲苯透明、浸蜡、包埋;待全部标本制备完成后,统一切片,统一进行HE 染色。
2. 结果
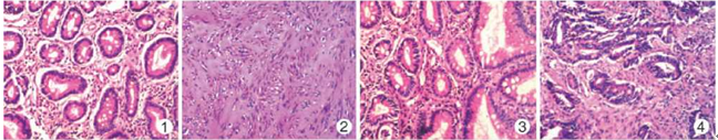
使用GS组织套液处理的组织蜡块,切片感觉良好,与传统方法制备的组织蜡块无显著差异,特别是胃癌、食管癌、肠癌、乳腺癌等组织软硬适中,切片平整,厚薄均匀,切片和 展片均比较容易;脂肪组织和皮肤组织蜡块要好于传统试剂方法处理的组织蜡块。整体评价GS组织套液处理的标本蜡块略优于传统方法。镜下:GS组织套液处理的组织切片HE染色核浆对比鲜明,胞质染色适中,组织细胞形态保存良好,与传统试剂处理的组织切片HE染色无明显区别 (图1 ~4)。
图1胃黏膜,环保型GS组织套液处理组
图2子宫肌瘤,环保型GS组织套液处理组
图3胃黏膜,传统试剂处理组
图4胃腺癌,传统试剂处理组
3. 讨论
常规传统制片方法中使用所采用的甲醛、二甲苯等具有 易挥发、有强烈的刺激性和高剧毒性,对职业工作环境和生活环境都十分有害,而新型环保试剂GS组织套液:①性能比较稳定,******、无色、无味、无刺激性;②不含甲醛、二甲苯;③ 所制切片能够保持良好的组织形态。经过对比试验,我们认为,GS组织套液制片效果要略优于传统试剂,是一种完全可 以成为甲醛、二甲苯等传统试剂作为常规组织固定、脱水、透 明、浸蜡、包埋、切片的替代品;再加之它******、无害,是一个具有创新和值得推广的试剂。
目前环保试剂的应用不仅仅是病理科的责任、医院的责任,它还是全社会、政府及民众的责任,是一个工程问题,牵扯到生产、流通、应用、处理等方方面面,需要社会各方面的支持和努力。下载地址:

登陆会员
注册会员


下载中心
病理论坛在线咨询