环保试剂与传统试剂冷冻制片效果的比较
环保试剂与传统试剂冷冻制片效果的比较
薛晓伟 王德田 李星奇 钟定荣
中国医学科学院北京协和医院病理科
摘自:2013年第08期《诊断病理学杂志》
在日常手术快速病理工作中,寻找一种安全有效的环保试剂替代传统试剂有重要的意义。本文就GS试剂与传统试剂染色效果和诊断价值进行比较。
1. 材料与方法
1.1材料
取自协和医院手术快速冷冻标本,每种标本各制做2套切片。GS冷冻病理切片染色套液(哈尔滨格林标本技术开发有限公司)、丙酮、乙醇、二甲苯均为国产分析纯;徕卡CM3050冷冻切片机和徕卡OCT包埋剂。
1.2方法
切取新鲜子宫平滑肌瘤、结节性甲状腺肿和乳 腺纤维腺瘤标本,置于冷冻台上,组织周围滴加OCT,冷冻2 ~5 min,待组织块变硬后,使用CM3050S冷冻切片机制作厚 度在5 ~7 μm的冷冻切片2套。
1.2.1传统试剂
切片入丙酮固定后,依次进入苏木精,分化,返蓝,伊红,梯度乙醇脱水,二甲苯透明,中性树胶封固。
1.2.2环保试剂
切片入GS固定液,依次入GS苏木精、 分化、蓝化、伊红,梯度乙醇,GS除浮染液、除水透明和透明 液,GC~02封片胶封固。
2. 结果
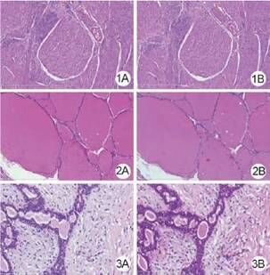
采用环保试剂制备的快速病理切片,固定效果较好,染液渗透力强,组织结构清晰,核浆分明,色彩鲜艳,脱水透明效果较好,在子宫平滑肌瘤、结节性甲状腺肿、乳腺纤维腺瘤3种组织中的染色效果与传统试剂无明显差异(图1 ~3)。
3. 讨论
冷冻切片广泛应用于手术中的快速病理诊断。冷冻切片质量好坏是诊断正确与否的重要因素。
完成冷冻切片后需要进行固定,以防止组织与载玻片分离或悬浮。一旦冷冻制片的任何环节发生脱片,需要重新制作,严重影响术中快速病理的诊断速度和质量。固定的另一作用是把蛋白质、酶、糖等沉淀或凝固成不溶性物质,保持组织细胞与正常生活时的形态相似。传统的冷冻切片固定剂为丙酮、AF液和乙醇等,丙酮属于高危险性化学试剂, 有刺激性气味,而GS固定液无色、无味,符合国家环保标 准,是丙酮的良好替代品。
一张优良的冷冻切片要求用时短,切片质量好,染色鲜艳,镜下组织结构清楚,细胞形态清晰,胞质分明,无脱片和冰晶现象出现,术后冷冻石蜡诊断符合率高。二甲苯因 其价格低廉,透明效果好,是常规应用的透明试剂。但是,二 甲苯对************系统有慢性毒性作用,而使用格林环保试 剂,透明完全,没有白雾现象,且镜下观核浆分明,无色素沉

图1子宫平滑肌瘤,A为传统试剂,B为环保试剂
图2 结节性甲状腺肿,A为传统试剂,B为环保试剂
图3 乳腺纤维腺瘤,A为传统试剂,B为环保试剂 渣出现,符合优良冷冻制片的标准。
综上所述,环保试剂在病理常规制片以及免疫组化的应用价值国内外均有文献报道,格林标本环保试剂,能够制作出优良的冷冻切片,对于子宫平滑肌瘤、结节性甲状腺
肿、乳腺纤维腺瘤的诊断价值与传统试剂没有差异。
参考文献
[1] 李慧,黄景阳,袁中瑞.提高脑组织冰冻切片质量的几点体会 [U] .中国免疫学杂志,2012,28 (11) :1019 -1022.
[2] 梁艳青.六种固定液对冰冻切片苏木素-伊红染色效果的比较[J] .解剖学研究,2012,34⑵:159 -160.
[3] 王德田,董建强,梁志勇.实用现代病理学技术[M].北京:中国协和医科大学出版社,2012. 80 -85.
[4] Iesurum A, Balbi T, Vasapollo D, et al. Microwave processing and ethanol-based
fixation in forensic pathology [J] . Am J Forensic Med Pathol,2006,27 (2):178 -182.
下载地址:

登陆会员
注册会员


下载中心
病理论坛在线咨询