GS环保型病理试剂的应用及中期实验评价
课题组织:中华医学会病理学分会病理技术学组
参与单位:
北京协和医院
医科院肿瘤医院
北京军区总医院
解放军总医院
北京大学肿瘤医院
第二军医大学长海医院
第二军医大学长征医院
浙江大学******附院
第四军医大学西京医院
南方医科大学病理学系
郑州大学******医院
北京大学人民医院病理中心实验室
GS环保型病理试剂的应用及中期实验评价
摘自:《2011全国西安病理技术学术会议暨全年
第七届病理技术学术会议论文集》
病理组织制片、染色、免疫组织化学染色、组织原位杂交及核酸提取过程中,甲醛和二甲苯作为病理常规试剂被大量应用。这些试剂是公认的化学有毒有害高污染化学试剂,具有强烈的刺激性和挥发性,不仅污染实验室工作环境,而且严重危害身体健康。甲醛和二甲苯等有毒有害化学试剂的回收及无害化处理需要花费高昂的费用,而不经无害化处理直接将其排放会造成城市水系和空气的污染。随着人们对健康环保工作和生活环境的不断关注,医务人员非常渴望建立一个环保型实验室,以减少化学药品对人类的危害。因此,寻找一种对人体******无害且环保的甲醛和二甲苯理想替代品,已成为国内外病理技术工作者的一种迫切愿望。
GS环保型病理系列试剂的短期实验表明在病理组织学形态、免疫组织化学、核酸提取和FISH方面完全能够达到临床病理诊断的全部要求。为了考察GS系列试剂的中期技术性能,从2011年3月起我们组织了GS系列试剂的中期实验。
实验评价结论:形态学、免疫组织化学、核酸提取、荧光实时定量PCR和组织原位荧光分子杂交实验的结果表明,格林标本GS系列产品完全可以满足病理技术的要求,在病理实验室彻底替代毒害污染严重的甲醛、二甲苯和汞,实现病理实验室的无害化。 SHAPE \* MERGEFORMAT SHAPE \* MERGEFORMAT
《GS无醛固定液及无醛无苯组织脱水系列试剂与甲醛二甲苯传统试剂短中期固定脱水效果比较评价》
一、实验设计
1. 课题目的
通过GS试剂与传统试剂的比较试验,验证GS试剂在60天时间段对组织形态、抗原性、RNA/DNA的保存能力。
2. 参与课题单位及实验标本选择
北京协和医院、医科院肿瘤医院、北京军区总医院、解放军总医院、北京大学肿瘤医院、第二军医大学长海医院、第二军医大学长征医院、浙江大学******附院、第四军医大学西京医院、南方医科大学病理学系医院、郑州大学******医院。每家医院选择乳腺癌、结肠癌、肺癌、卵巢癌、淋巴瘤、五种组织各两例,总计110例标本。
3. 课题设计及比较评价内容
10%中性甲醛:固定1天、 3天、 7天、15天、30天、60天 共取材6块
无醛型固定液:固定1天、 3天、 7天、15天、30天、60天 共取材6块
为统一实验标准,要求取得一个足够大的标本后(要求未经固定的新鲜标本),分成12块不小于3mm×3mm的实质性肿瘤组织,分别装入10%中性甲醛和无醛型固定液中固定,分别于固定后1天(指24小时)、 3天、 7天、15天、30天、60天取出一块组织脱水包埋。待全部标本制备完成后,统一切片并同时进行组化染色实验。
实验内容:
乳腺癌-ER PR C-erb-B2 her-2基因荧光原位分子杂交
结肠癌- CA-19-9 p53
肺癌 - EGFR ki67
卵巢癌- CA-125
淋巴瘤- LCA CD20 CD45RO
以上肿瘤的核酸提取和相关肿瘤基因的荧光实时定量荧光PCR。
关于her-2基因荧光原位分子杂交检测的说明:
her-2基因荧光原位分子杂交可以先做C-erb-B2染色,选择2例中一例C-erb-B2++至+++阳性的标本做FISH即可。具体做法可以首先选择固定1天及60天的两个时间点,如60天时间点FISH检测阳性,则其他时间点可以不做。如60天时间点为FISH阴性,则应继续做固定30天时间点,依次类推直至做到FISH阳性的时间点。
关于组织脱水的说明:
10%甲醛固定的实验组织,使用传统脱水方法脱水透明;
无醛固定液固定的实验组织,使用GS系列脱水透明
拟于2011年4月各课题单位开始于6月底基本完成实验评估。请保留实验标本蜡块,染色切片以及实验记录数据资料。在完成实验后统一提交北大人民医院病理中心实验室,以便统计分析。
二、关于环保型无醛组织固定液
1. 历史回顾
采用甲醛固定组织的方法已延续了一百多年,甲醛对组织渗透能力强,组织固定均匀,组织收缩小,尽管它具有高毒性,但由于其成本低,能较好地保存组织结构,因此至今仍广泛被人们接受。甲醛主要存在以下缺点:
(1)易挥发,具有较强烈的刺激性,严重刺激呼吸道黏膜和眼结膜,强烈的刺激可引起呼吸困难和眼睛流泪。摄入和吸入易导致中毒。严重造成空气和环境污染,而防护又极为困难。国内外医学研究证实,人体皮肤直接接触甲醛时,会引发过敏反应、皮炎或湿疹。长期接触甲醛可能会引发慢性呼吸道疾病和肿瘤发生,如鼻咽癌、结肠癌、脑瘤、白血病,引起体内白细胞数量下降,导致记忆力和智力下降。2004年6月15日WHO正式宣布甲醛为致癌物质,同时提醒人们要重视甲醛的致癌性,并采取预防措施。
(2)甲醛存放过久易聚合成三聚甲醛,而影响组织标本固定效果。
(3)固定时间较长的组织内易形成甲醛色素,与含铁血黄素相混淆,易导致组织酸化影响染色效果,使诊断受到严重影响。
(4)不能固定肝糖原和尿酸。
(5)废液需特殊处理,应由持证废物运输或******企业来处置,尽可能蒸馏回收,不能直接排入下水道。废液处理费较高,每千克30-50元。在室温下,用甲醛固定的组织很难保存高分子量DNA,造成DNA、RNA抽提困难,生物学分析成功率难以确定。抽提的DNA分子的大小又与固定的温度直接相关。即使短暂的甲醛固定切片,其DNA的溶解度也会明显降低(也会明显降低DNA的可溶性)。在固定过程中,约有30%的核酸丢失。多项研究显示,无交联作用的醇类固定剂在保存DNA方面比醛类固定剂效果更好。但单纯用乙醇类固定液,易导致核固缩、细胞空泡出现,组织皱缩,组织变硬变脆等缺陷。理想的固定液应该是:毒性低,能有效地保存组织细胞的形态结构、高度的保存组织细胞的免疫原性和DNA/RNA分子结构,以便进行免疫细胞/组织化学和分子生物学研究。
近年来,随着对实验室环境安全更高的要求以及分子生物学飞速发展的需求,研发和生产理想的******低毒的甲醛替代固定剂已成大势所趋刻不容缓。目前国内外相继研制并生产了环保型无醛固定剂,令人满意的替代品具有极大的技术优势。如英国的FineFIX、美国的HISTOCHOICE 和国内的GS新型生物组织标本固定剂等。环保型无醛固定液是组织固定技术的革命性突破,使建立绿色病理实验室的理想成为现实。无醛固定剂的主要特点是:
(1)无色、无刺激性,低挥发性,不含甲醛等任何醛类化合物,绿色环保,易生物降解,使用后不会对环境产生危害。对组织渗透性强。
(2)能保持良好的组织形态学结构,同时能保护细胞膜的完整性。
(3)有较强的固定、脱水、脱脂兼硬化作用,不易导致组织过度收缩,无细胞空泡与核固缩现象。
(4)能******限度地保护组织中的抗原和核酸不被破坏、降解或弥散。免疫组化检测结果显示:在相同染色条件下阳性率和阳性强度与传统制片法效果基本一致。无醛固定液固定的组织,蛋白质氨基酸分子之间不发生交联,对组织内抗原不构成交联型遮盖,某些免疫组化检测无需抗原修复处理,简化了免疫组化染色程序,******了修复可能产生的假阳性,提高了抗原对抗体的敏感性。
(5)对DNA、RNA保存较佳,有利于对组织标本的分子生物学研究。以乙醇成分为主的无醛固定剂,回收简便易行,不需甲醛中和剂进行处理废液,可依据乙醇废液处理管理条例处置废液。经大量实际应用,无醛固定液与传统甲醛固定液处理的组织制片效果基本相同,完全可以取代甲醛对组织标本进行固定。
2. 国外环保型试剂的状况
(1)FineFIX 是一种浓缩无醛固定剂,使用时以三倍的95%乙醇稀释成工作液,被认为是理想的甲醛替代品,可以获得良好的组织细胞结构、免疫原性和良好的核酸保存效果。在手术标本的固定方面穿透速度较快,国外一些实验室对其固定效果进行了HE染色形态学分析、免疫组织化学染色实验、RNA/DNA提取对比实验和PCR基因扩增实验结果满意,被认为在组织固定技方术方面具有里程碑式的进步意义。目前国内已有一些医院使用FineFIX进行标本固定效果良好。


(2)TISSUE FIXATIVE-HISTOCHOICE 是美国Amresco公司生产的无醛环保型组织固定剂。目前在欧美和亚太一些国家的应用试验证实了良好的效果。
TISSUE FIXATIVE-HISTOCHOICE 可用于常规组织学、免疫组织化学、分子杂交、细胞学等方面的组织固定。美国耶鲁大学的一个试验小组对其性能进行了较为******的分析。


Table 1 将HISTOCHOICE 和NBF(中******尔马林)在涉及上皮、淋巴、神经、血管和肿瘤标志等 21种常用免疫组织化学染色的结果进行了对比分析结果表明:57% 采用 HISTOCHOICE 固定的标本染色结果具有较NBF更高的染色强度,28.6%的标本染色结果两种固定剂染色强度相同,14.3% 的标本染色结果NBF具有更高的强度。

Table 2 对两种固定液固定标本染色的色值对比分析则表明:HISTOCHOICE 固定的标本80%的染色色值优于NBF。
3. GS无醛固定液:是国内企业自行研制生产的环保型固定液,该无醛固定液目前已被数十家大型医院使用。实验证明GS无醛固定液能够良好的保存组织细胞的形态结构,与甲醛相比具有更良好的镜下形态结构。

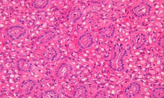
使用GS无醛组织标本固定液固定GS系列脱水透明染色试剂制备的兔肾曲管切片 HE 染色
本次涉及全国十余家医院和大学科研机构的综合实验表明,GS无醛固定液固定的外检标本,在病理形态学方面能够保持良好的组织细胞形态、在大多数免疫组化染色中都能优于或等于甲醛固定的同一组标本。此外,GS无醛固定液固定的外检标本在核酸提取和实时定量荧光PCR对比实验中也获得了满意的结果。


1 2 3 4 5 6 7 8 9
电泳图中上半部为甲醛固定标本下半部为GS无醛固定液固定的标本1-9分别为1,结肠癌、2,卵巢粘液腺癌,3,移行细胞癌,4,肝癌、5,胰腺癌、6,鳞状细胞癌、7乳腺癌、8,子宫内膜癌、9,卵巢非粘液癌。
(图1)用10%中性甲醛固定1天的乳腺癌,结肠癌,肺癌,卵巢癌,淋巴瘤的线性图谱其基线期、指数增长期、线性增长期和平台期理论扩增成立。扩增图谱从左到右分别为乳腺癌,结肠癌,肺癌,卵巢癌,淋巴瘤。说明10%中性甲醛固定1天能较好的保存了模板基因。
(图2)GS组织固定脱水系列套装试剂固定1天的乳腺癌,结肠癌,肺癌,卵巢癌,淋巴瘤的线性图谱其基线期、指数增长期、线性增长期和平台期理论扩增成立。扩增图谱从左到右分别为乳腺癌,结肠癌,肺癌,卵巢癌,淋巴瘤。说明GS组织固定脱水系列套装试剂固定1天和10%中性甲醛固定1天的标本大致相同,也能较好的保存模板基因。

(图3)用10%中性甲醛固定60天的乳腺癌,结肠癌,肺癌,卵巢癌,淋巴瘤的线性图谱其基线期,指数增长期,线性增长期和平台期理论扩增成立。扩增图谱从左到右分别为乳腺癌,结肠癌,肺癌,卵巢癌,淋巴瘤。说明10%中性甲醛固定60天后仍能较好的保存了模板基因。

(图4) GS组织固定脱水系列套装试剂固定60天的乳腺癌,结肠癌,肺癌,卵巢癌,淋巴瘤的线性图谱其基线期,指数增长期,线性增长期和平台期理论扩增成立。扩增图谱从左到右分别为乳腺癌,结肠癌,肺癌,卵巢癌,淋巴瘤。说明GS组织固定脱水系列套装试剂固定60天和10%中性甲醛固定60天的标本大致相同,也能较好的保存模板基因。
实验证明,只要按照病理标本固定取材规范的要求对病理标本进行规范化的固定和取材,完全采用GS无醛固定液和无笨脱水试剂制备的组织标本可以良好的完成各项病理实验。此外本实验说明,使用GS系列环保试剂处理的标本具有良好的形态结构和基因分子结构保存性能。
三、环保型组织脱水透明染色系列试剂
1. 环保型组织透明剂的国内外概况
传统组织处理和染色过程中,目前被病理实验室大量使用的二甲苯是一种对人体具有较强毒害作用的有机化学试剂。它极易挥发,短期内吸入高浓度二甲苯可出现上呼吸道明显的刺激症状、眼结膜及咽部充血、头晕、恶心、呕吐、胸闷、四肢无力、意识模糊、步态蹒跚,重者可有躁动,抽搐或昏迷,有的可能出现癔病样发作。长期使用会导致骨髓抑制,引起白细胞数量降低,有可能出现神经衰弱综合征,女性出现月经异常,常出现皮肤干燥、皲裂、皮炎等。除对病理工作者的健康构成威胁外,有的单位还将废弃的二甲苯大量的倾倒进下水道也造成了更大范围的城市水系环境污染。普通的手套材料不能提供充分的保护。在组织处理过程中,若在二甲苯中浸泡时间过长,易产生组织收缩和硬化现象,影响制片质量。
为了克服二甲苯存在的各种缺点,国内外病理工作者都在试图寻找一种较为理想的二甲苯代用品,既环保又能有效代替二甲苯的作用来满足病理工作的需要。值得注意的是近几年来国内外市场上出现了一些环保型脱蜡剂、透明剂和封片剂,如美国Amresco公司生产的CLEARING AGENT、国产GS组织透明液、WaxOut、TO透明剂等。

除GS组织透明液外,绝大部分的此类试剂只偶见零星的使用经验,而未见系统的大范围、大样本量的系统实验报道。这些试剂均为非苯类******型复合试剂,可以替代二甲苯对组织切片进行脱蜡和染色脱水后的透明处理以及封片,彻底根除了二甲苯对人体的伤害及其对环境的污染。环保型脱蜡剂,使组织切片脱蜡彻底,速度快。环保型透明剂对组织渗透力强,处理组织软硬适中,对组织处理柔和,组织标本即使较长时间浸泡在其中也不会出现明显的收缩和硬化现象,不易使组织变硬变脆,特别是对子宫肌瘤、皮肤等较韧的含纤维较多的组织柔韧度较好,切片质量好于传统制片法。
总之,针对甲醛的高毒性、致癌性,国内外学者进行了多年研究,如在甲醛溶液中加入添加剂以减少甲醛的挥发,但效果仍不理想,即使加强通风,并不能完全******其危害。使用环保试剂替代甲醛及苯类试剂后,从源头上杜绝了有害试剂对室内外环境的污染。环保型试剂的问世,为建立“绿色实验室”奠定了良好基础,未来的病理实验室将逐步成为环保型的实验室。经大量实际应用证实,环保型试剂,完全适用于病理诊断所需的常规HE染色、免疫组化染色、组织化学染色及荧光原位杂交检测等,其各种染色效果与传统方法制作的切片染色效果相同,可广泛应用于病理技术工作中。
美国Amresco公司生产的CLEARING AGENT、国产WaxOut、TO透明剂均为单一的组织脱蜡透明剂,经试用证明可以替代二甲苯完成组织制片。WaxOut在北京的近十家医院已有近10年的使用文献资料。
格林标本研制的GS系列组织脱水透明剂为系列试剂套装,从2009年至今已有北京、上海、山东、河北、河南、广西、湖南、陕西、江苏、广东等省市的数十家大中型医院病理科和实验室进行试用并投入使用。目前,该系列环保型试剂包括:无醛标本固定剂、无苯脱水套装、无苯脱水机清洗剂、无苯无汞染色套装和无苯封片胶、浸蜡及包埋切片石蜡。形成了完整的环保型病理专用试剂系列。

GS组织后固定脱水透明浸蜡和脱水机清洗液套装试剂

格林标本GS系列环保型病理组织标本制备系列试剂,是一套具有开创性的组织病理学标本制备试剂,实现了从标本固定到完成各种染色直至切片封固全过程的无醛、无苯、无汞、环保化。


使用GS组织脱水套装试
剂的脱水程序及试剂更换方法
|
储液槽 |
试剂名称 |
工作时间 |
合计时间 |
备 注 |
|
1号 |
固定液 |
2小时 |
4小时 |
注:在常温、常压下进行组织处理。每次换液1.3.5.7.9液体倒掉;2.4.6.8.10液体前移。换液标准为,一般在处理标本4500块左右。 |
|
2号 |
固定液 |
2小时 |
||
|
3号 |
80%乙醇 |
30分钟 |
1小时 |
|
|
4号 |
80%乙醇 |
30分钟 |
||
|
5号 |
脱水液I |
40分钟 |
1小时40分 |
|
|
6号 |
脱水液I |
1小时 |
||
|
7号 |
脱水液II |
50分钟 |
1小时50分 |
|
|
8号 |
脱水液II |
1小时 |
||
|
9号 |
透明液 |
1小时 |
2.5小时 |
|
|
10号 |
透明液 |
1.5小时 |
||
|
蜡缸1 |
浸蜡液I |
2小时 |
第1号浸蜡液每周须换一次,2.3.4号前移,3号或4号更新。 |
|
|
蜡缸2 |
浸蜡液I |
1小时 |
||
|
蜡缸3 |
浸蜡液II |
30分钟 |
||
|
蜡缸4 |
浸蜡液II |
5分钟 |
||
|
11号 |
工作槽清洗液I |
自动标准清洗程序 |
||
|
12号 |
工作槽清洗液II |
自动标准清洗程序 |
||
|
13号 |
无水乙醇 |
自动标准清洗程序 |
||
四、GS系列试剂联合应用的评价
在严格筛选基础上,对具有详细记录的实验材料和数据纳入对比分析评价
|
标本在甲醛传统试剂中的实验过程 |
|||||||
|
标本 |
标本编号 |
标本病理号 |
标本取材时间 |
标本固定时间 |
标本前期固定时长 |
标本处理 时长 |
|
|
乳癌 |
R-A1(1) |
B0236094 |
3月2日 2:45pm |
3月2日 2:50pm |
24h |
14h6min |
|
|
|
R-A1(3) |
B0236094 |
3月2日 2:45pm |
3月2日 2:50pm |
72h |
14h6min |
|
|
|
R-A1(7) |
B0236094 |
3月2日 2:45pm |
3月2日 2:50pm |
168h |
14h6min |
|
|
|
R-A1(15) |
|
|||||
下载地址:

登陆会员
注册会员


下载中心
病理论坛在线咨询