环保型染色套液在常规病理组织切片染色中的应用
环保型染色套液在常规病理组织切片染色中的应用
田玉旺 朱红艳 朱培双 邢宜
北京军区总医院病理科
摘自:2013年10期《诊断病理学杂志》
在常规病理组织切片染色过程中,二甲苯、含汞苏木精染液等作为病理常规试剂被大量应用,这些试剂具有强烈的 刺激性和挥发性,不仅污染环境而且严重危害身体健康。寻找一种对人体******、无害且安全的替代品,已成为病理技术工作者的一种迫切愿望。我们将环保型染色套液应用于常规病理组织切片染色过程中,收到了较好的效果。
1. 材料与方法
1.1 标本
选取北京军区总医院病理科2011-01—2012-01 间临床送检的各种活体组织标本200例,其中包括正常乳腺及乳腺癌、甲状腺、胃黏膜、结肠癌、肺癌、卵巢癌、淋巴结、 肾、脂肪、子宫肌瘤、食管及皮肤等组织。
1.2 试剂
环保型染色套液包括:脱蜡液、无汞苏木精染液、分化液、返蓝液、伊红染色液、除浮染液、除水透明液和透明液(哈尔滨格林标本技术开发有限公司研制生产);传统染色试剂包括:二甲苯、梯度乙醇、含汞苏木精、1%盐酸乙 醇、氨水和伊红。
1.3 方法
组织经常规4%中性甲醛固定,乙醇脱水,二甲苯透明,石蜡包埋,切片厚4 ~5 μm。 每种组织切片2张,一张采用传统HE染色;另一张采用环保型染色套液进行HE 染色,比较二者染色效果。传统HE染色步骤:①切片经二甲苯I、Ⅱ脱蜡各5min;②无水乙醇、95%乙醇、80%乙醇各 2 min,自来水洗;③苏木精染8 min,自来水洗;④1%盐酸乙醇分化数秒钟,自来水洗;⑤1%氨水返蓝1 min,自来水洗; ⑥1%水溶性伊红染1 min;70%乙醇、95%乙醇各10 s,无 水乙醇I、II各2 min,二甲苯I、II各2 min,中性树胶封固。环保型染色套液HE染色步骤:①切片经脱蜡液I 5 min,脱 蜡液I 5 min,自来水洗2 min;②无汞苏木精染色液3 ~ 5 min,自来水洗10 s;③分化液2 ~3 s,自来水洗1 min;④蓝化液1 min,自来水洗1 min;⑤伊红染色液1 ~3 min,自来水洗3 s;⑥除浮染液3 s,沥干残余试剂;⑦除水透明液1 min,沥干;⑧透明液3 min,无苯封片胶封固。
2. 结果
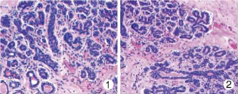
采用环保型染色套液进行HE染色,染液渗透力强,染色速度快,组织结构显示清晰,色彩鲜艳,核浆对比分明;与传统HE染色结果相比二者无明显差异(图1,2)。

图1乳腺组织,环保型染色套液HE染色
3. 讨论
在传统HE染色过程中,二甲苯作为***常用的苯类试剂被病理实验室大量使用,它极易挥发,是一种对人体具有较强毒害作用的有机化学试剂。其主要毒性是对************和植物神经的麻醉及黏膜的刺激作用,主要通过呼吸道或经皮肤吸收,长期接触有致癌作用。它除对操作者的健康构成威胁外,如果将废弃的试剂不经专业处理直接倾倒入下水道,会造成周边环境及城市水系的严重污染,而采用专业回收处
理会大大提高成本。
为了克服二甲苯存在的缺点,我科使用环保型病理切片染色套液进行常规活检切片HE染色,收到了理想的制片效 果。这些试剂均为非苯类******型复合试剂,可以替代二甲苯对组织切片进行脱蜡和染色脱水后的透明处理以及封固,彻底根除了二甲苯对人体的伤害及其对环境的污染。脱蜡剂使组织切片脱蜡彻底、速度快、不出现脱蜡不足的现象;透明
剂对组织渗透力强、作用温和、切片透明度好,保证了切片的染色质量。环保型染色套液中的苏木精为无汞染液,对人体 ******无害,对组织亲和力强,染色速度快,不易产生氣化膜而污染组织,切片长期存放细胞核不易褪色,染液使用时间长
并且不需自行配制,便于实验室对切片进行质量控制。镜下组织切片色彩鲜艳,细胞结构清晰,核浆对比分明,与传统 HE染色效果基本一致。
总之,新型环保型病理切片染色套液具有创新性和实用 性,染色效果稳定可靠,完全可以替代传统的有毒病理试剂,并且有利身体的健康,减少了环境污染,值得在病理实验室广泛推广使用。
下载地址:

登陆会员
注册会员


下载中心
病理论坛在线咨询