环保试剂及超声组织处理仪在乳腺癌粗针穿刺中的应用
环保试剂及超声组织处理仪在乳腺癌粗针穿刺中的应用
赵洁 付海洋 王成勤
青岛大学医学院附属医院 病理学教研室
摘自:2013年01期《诊断病理学杂志》
常规乙醇一二甲苯制片法加上免疫组化染色往往需要1周时间,本文采用GS组织处理套液,利用超声组织处理仪处理粗针穿刺乳腺标本,不仅大大缩短了诊断时间,且不影 响免疫组化染色效果,其方法如下。
1.材料与方法
1.1材料
青岛大学医学院附属医院2011-10—2012-4间送检的乳腺粗针穿刺标本167例。GS组织样本制备套液及 GS病理切片染色套液由哈尔滨格林标本技术开发有限公司提供;钧镒JYCL-2型超声处理仪由山东鼎成医疗设备科技有限公司提供;Boond-nax型全自动免疫组化染色机由德国 徕卡公司提供。免疫组化—抗为北京中杉金桥生物有限公司提供,检测系统为德国徕卡公司提供的Boond-nax专利的Compact polymer(紧凑型聚合物)检测技术。
1.2方法
用超声组织处理仪先将乳腺穿刺标本经4%中性缓冲甲醛前固定15 min,再用GS固定液45℃:固定10 min,GS环保型脱水试剂I、II及透明试剂50 ℃各处理15 min;62 ℃:浸蜡20 min;常规石蜡包埋、切片。GS组织样本染色套液行HE、免疫组化染色均设外部阳性对照。
2. 结果
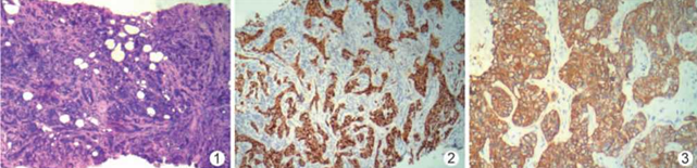
用GS组织样本制备套液制作的蜡块,切片软硬适宜,厚薄均匀,尤其是带脂肪的组织,切片完整。HE染色镜下观察组织结构清晰,红蓝对比分明;免疫组化染色无背景着色,结果与传统方法无明显差异(图1 ~3)。

图1 乳腺癌,HE染色
图2乳腺癌,ER(+) EnVision法
图3乳腺癌,c-;rBb~2 ( + ) EnVision法
3.讨论
传统制作标本的方法具有高毒性,易挥发等缺点,而环保型的GS组织样本制备套液及GS病理切片染色套液,均为非苯类******型复合试剂,可替代二甲苯对组织的脱水及透明。
乳腺穿刺标本用GS环保型无醛固定液直接固定标本,HE染色时无明显差异,但免疫组化染色时背景着色较重,这可能与GS环保型无醛固定液是以醇类为主体的复合固定液 有关;根据ASCO/CAP乳腺癌指南中规定乳腺标本必须经 4%中性缓冲甲醛固定的原则3 ,在使用环保试剂之前本文采用4%中性缓冲甲醛在常温下应用超声波对穿刺标本进行了前固定,取得满意效果,在HER2检测上尤为明显,167例标本中HER2 (卅)为31例,其中7例经CISH、FISH检测为HER2扩增,符合率均达100%。
环保型超声处理仪有4个操作缸,缸内容量500ml, 可同时处理40余个标本,带有定时启动停止功能,温度可调。处理乳腺穿刺标本时应注意:①由于超声波的作用可产生一定的温度,一定要确保实验室通风,将设备放置在通风柜内;②脱水时因需加温处理,试剂会蒸发,所以要及时观察补充脱水缸中的试剂,总体要求500个标本彻底更换一次液体。
总之,应用GS环保型试剂可减少试剂对实验室的污染, 而应用环保型超声标本处理仪处理标本2天即可得到免疫组化结果。此方法在无冷冻切片机的基层单位也可应用于临床快速病理诊断。
下载地址:

登陆会员
注册会员


下载中心
病理论坛在线咨询