GS固定染色套液与传统固定染色套液在冷冻切片制备中的比较
GS固定染色套液与传统固定染色套液
在冷冻切片制备中的比较
沈贵华 王知博 王冰凝 郑波 谢阿欢
中国医学科学院肿瘤医院病理科
摘自:2012年第05期《诊断病理学杂志》
传统固定染色套液虽然制片技术性质稳定,但是,所采用的试剂不够环保。GS环保试剂套液弥补了此缺陷。冷冻报告的准确率取决于冷冻切片制备的成败,而固定和染色是制备中的两个***关键步骤。本文通过GS套液与传统HE套液在冷冻切片制备过程中的效果比较,探讨GS固定染色套液在冷冻切片制备过程中的应用。
1.材料与方法
1.1 材料
标本随机取自中国医学科学肿瘤医院手术标本,包括甲状腺、淋巴结、肺、肾、脑、卵巢、消化管等128例。GS固定染色套液(哈尔滨格林标本技术开发有限公司研制并生产),传统固定液(我院现用95%乙醇),HE染色套液,中性树胶。
1.2 方法
①取材与切片:取材后OCT包埋,行常规冷冻切片,厚度8 pm。②固定与染色:切片后室温略干燥,分别放进两种固定液中(GS无醛固定液和传统95%乙醇),室温固定1 min,分别行:
传统HE套液染色:水洗—苏木精1 min—水洗—1%盐酸乙醇略分化—水洗—氨水返蓝—水洗—伊红10 s—稍水洗—梯度乙醇脱水—二甲苯透明—中性树胶封固。
GS无汞套液染色:水洗—苏木精1 min—水洗—分化液2 s—水洗—蓝化液5 s—水洗—伊红10 s—稍水洗—除浮染液2 s—95%乙醇—无水乙醇—透明液2 s—树胶封固。
2.结果
2.1 两种固定液传统染液染色结果
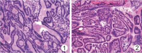
镜下示,GS无醛固定液固定的切片细胞核无收缩,细胞形态较清晰,色彩鲜艳,核浆对比良好(图1) ;95%乙醇固定的切片,细胞收缩明显,组织结构清晰,细胞染色尚可(图2)。
2.2 两种套液分别染色结果
镜下示,经GS套液固定染色的组织,清晰度明显改善,其他差异不大。
2.3 两种固定液应用GS无汞染色套液结果
镜下示,95%乙醇经缩短固定时间后,经GS染色套液染色,细胞收缩明乙醇固定液,淋巴结转移性乳头状癌显改观,背景清晰,无核偏位现象,除细胞质染色稍淡外,与GS套液染色无明显差异。
图1 GS固定液,淋巴结转移性乳头状癌
图2 95%乙醇固定液,淋巴结转移性乳头状癌
3.讨论
冷冻切片是病理医师做出明确诊断的***根本依据,而制备一张高质量冷冻切片的关键步骤就是固定与染色,因此,固定液与染液的选择和应用极其重要。目前,冷冻切片中固定液种类繁多,如甲醇、中性甲醛、AFF液、丙酮、乙醚乙醇混 合液等。但均不符合环保要求,而其中部分固定液(如4% 中性甲醛、AFF液等),短时间固定效果不佳,清晰度差,核浆着色淡,对比差,细胞肿胀、变形,形成空泡,易造成漏诊、误诊,延误******,故没有列入这次对比实验。
95%乙醇长时间固定可使组织细胞收缩明显,不能保存组织细胞的***初完整形态,而缩短固定时间后,利用GS染色套液染色,则能克服这一弱点,制片效果明显改善,各项指标均能达到良好标准。
传统HE套液虽然性质稳定,但是,所应用的试剂二甲苯可对人体神经系统、造血系统造成不同程度的损伤,危害健康,苏木精中含有汞成分,不符合环保排放的需求。而GS 套液作为一种环保型试剂,******、无色、无异味、无刺激性、pH值适中、不含汞成分,制片效果与传统套液效果相当,值得推广。下载地址:

登陆会员
注册会员


下载中心
病理论坛在线咨询