绿色环保无醛固定液与传统甲醛固定液的区别
绿色环保无醛固定液与传统甲醛固定液的区别
中国医学科学院 北京协和医院 李冬梅 孙丽萍** 王德田 罗玉凤*
关键词 绿色 环保固定 甲醛固定 区别
实验目的:通过GS无醛固定液与甲醛固定液的对比试验,验证GS环保试剂对组织形态、抗原性、RNA/DNA的保存能力。
实验材料:我院病理科病人活检及手术标本,乳腺癌、结肠癌、肺癌、卵巢癌、淋巴瘤五种组织,共12例样本。
实验方法:每例标本(未经固定的新鲜标本),各取12块大小基本相同的实质性肿瘤组织,分别装入10%中******尔马林和GS无醛固定液中固定,并分别固定后1天(指24小时)、3天、7天、15天、30天、60天进行脱水包埋(其中无醛固定液固定的用GS系列脱水剂脱水)。待全部标本制备完成后,统一切片并同时进行HE染色和免疫组化试验。
乳腺癌:ER、PR、C-erb-B2、Her-2基因荧光原位分子杂交
结肠癌:CA199、P53
肺癌:EGFR、Ki67
卵巢癌:CA125
淋巴瘤:LCA、CD20、CD45RO
关于Her-2基因荧光原位分子杂交检测说明:Her-2基因荧光原位分子杂交可以先做C-erb-B2染色,选择2例中1例C-erb-B2++至+++阳性的标本做FISH即可,具体做法可以首先选择固定1天及60天的两个时间点的两种固定方式同时做免疫组化实验,如60天时间点FISH检测阳性,则其他时间点可以不做。如60天时间点为FISH阴性,则应继续做固定30天时间点,依次类推直至做到FISH阳性的时间点。
|
肿瘤类型 |
实验编号 |
Her-2 |
ER |
PR |
|
乳腺癌 |
RA1 RB1 |
0 0 |
+++ ++ |
+++ +++ |
|
RA2 RB2 |
0 0 |
+++ ++ |
+++ +++ |
|
|
RA3 RB3 |
0 0 |
+++ ++ |
0 0 |
|
|
RA4 RB4 |
切片未见CA组织,不做参考 |
|||
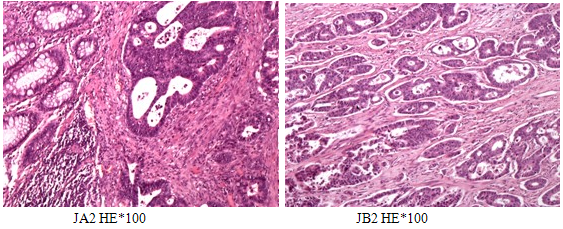
A组:传统甲醛固定组织 B组:GS无醛固定组织
固定时肉眼观察:RA组液面浑浊,组织上浮。RB组液面清亮,组织变白变硬,有沉底现象。
HE染色:GS无醛固定液HE染色核浆对比度鲜明,胞浆染色偏红,其他与传统甲醛固定无明显区别。免疫组织化学染色:ER、PR染色,GS无醛固定液RB组细胞核着色整体略淡,染色对比度差,其它各项染色强度高于传统试剂甲醛固定RA组。
讨论:传统甲醛固定液对组织渗透力强、固定均匀,组织收缩小,成本低。但它易挥发,具有较强烈的刺激性和高剧毒性。随着人们环保意识的提高,我们病理工作者都渴望建立有环保型的实验室,减少甲醛、二甲苯等有毒液体在我们日常工作中对身体的危害。寻求一种******无害的环保试剂来代替甲醛、二甲苯是国内外病理技术工作者的又一新的跨越性目标。我们希望看到新型环保试剂的产生,它能做到⑴无色、无刺激性、低挥发、不含甲醛等任何醛类化合物,易生物降解。⑵能够保持良好的组织形态学结构。⑶有较强固定、脱水、脱脂兼硬化作用。⑷能******限度地保护组织中抗原和核酸不被破坏、降解等特点。早日为我们病理技术工作者实现绿色、环保实验室的梦想!
* 为通信作者 邮编100730 **江西省妇幼保健院下载地址:

登陆会员
注册会员


下载中心
病理论坛在线咨询