GS环保试剂在病理制片中的应用体会
GS环保试剂在病理制片中的应用体会
郭效忠 苗志风 刘春荣 高远 郭忠建 党万里
沧州市中心医院
摘自:2012年第03期《诊断病理学杂志》
甲醛、二甲苯、氧化汞应用于病理常规制片技术至今已 100多年,虽方法成熟,但不环保。我院于2011年应用GS 组织样本制备及切片染色套液对3000余例外科活检标本进行批量实验,制片结果与传统方法基本一致,是一套能替代传统试剂的环保型试剂。
1.材料与方法
1.1 材料收集沧州市中心医院各种手术及活检标本3000+例,包括乳腺癌、直肠癌、甲状腺肿物、子宫肌瘤、胆囊、淋巴结、皮肤及肾穿刺组织,每份标本均常规取材2份,—份使用传统试剂制片法,另一份采用GS试剂制片法。GS组织样本制备套液及GS切片染色套液由哈尔滨格林标本技术开发有限公司研制并生产。
1.2 方法
1.2.1 传统石蜡组织标本制片略。
1.2.2 GS环保试剂制片 GS固定液90min;固定液 90 min、80 min;脱水液 I 60 min x2;脱水液 n 60 min x2;透 明液40 min、50 min;浸蜡液I100 min、浸蜡液n为60 min、20 min。
1.2.3 传统HE染色方法略。全程耗时40min。
1.2.4 GS染液染色程序脱蜡液I、II各4 min;95%乙醇 30 s;水洗;苏木精染3 min;水洗15 s;分化液3's;水洗 1.5 min;蓝化液7 s;水洗30 s;伊红染40 s;水洗10 s;除浮液 3s ;除水透明液1 min、2 min;无苯胶封片。共耗时18 min。
1.2.5 特殊染色方法对传统和GS试剂制备的肾组织样本切片,按常规染色步骤分别进行PASM和Masson染色。
1.2.6 对传统和GS试剂处理制备的乳腺癌切片按PV- 9000二步法分别进行ER染色,对直肠癌切片按PV~9000二步法分别进行TOPO Ia (拓扑异构酶Ia)染色。
2.结果
2.1 切片采用GS套液制备的组织蜡块,组织块切片感觉 软硬适宜,连续性好,厚薄均匀,与传统制备的组织蜡块切片效果基本一致。脂肪、大网膜、子宫肌瘤、皮肤等组织切片效果优于传统方法。肾穿刺组织较传统方法易切出较薄切片。
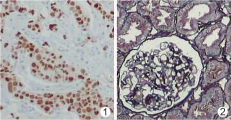
2.2 染色①HE染色:采用GS染色套液色泽艳丽、核浆分明,与传统试剂HE染色效果无明显差异,子宫肌瘤、网膜 组织染色要优于传统方法。采用GS组织样本套液制备的石蜡切片,ER (图1)和TOPOIIa染色与传统方法效果相同,阳性结果定位准确,着色较强,背景清晰,表明抗原保存较好。②特殊组织染色:采用GS方法制片PASM (图2)和 Masson染色,着色部位准确色泽艳丽分明,与传统方法制片染色效果相同。
图1乳腺癌ER ( + ) GS制片 图2 肾穿刺PASM (+) GS制片
3.讨论
GS固定液无醛、******、低挥发,对组织渗透强、均匀,固定效果好,取材与切片有较好效果,并能充分保护细胞内抗原,保证正常生物学研究。
GS脱水液脱水效果好,较均匀适宜,处理的组织软硬适中,尤其对脂肪、较硬组织要优于传统制片方法。
GS透明液无苯、******,对组织透明效果较好,渗透温和,处理组织软硬适中,浸蜡彻底,切片效果好;在切片染色过程中脱蜡、透明效果好,大大缩短了染色时间,提高染色效果。
GS切片染色套液中苏木素精液中无汞、******,染色效果好,效率高。镜下色泽艳丽,结构清晰,同时GS封片胶中无 苯、******。
通过我们批量试验,每1000 ml GS组织样本制备套液能处理组织约1500块。
综上所述,GS组织样本制备及切片染色套液,可完全替代传统的以甲醛、二甲苯为主体的石蜡制片技术流程,完全满足病理诊断技术要求,真正意义上实现了健康、环保、优质、******。下载地址:

登陆会员
注册会员


下载中心
病理论坛在线咨询