环保型病理GS染色套液与传统HE染液的比较
环保型病理GS染色套液与传统HE染液的比较
郭宝强 窦文聪 郭影芳 张星 吴彤辉
河南临颍县人民医院
摘自:2013年《临床与实验病理学杂志》
采用甲醛固定、乙醇脱水、二甲苯透明、石蜡包埋制作技术和苏木精染色技术是经典的病理制片技术,但其中标本中含有的甲醛、二甲苯、氧化汞等有毒有害化学试剂,对技术人 员和工作环境的毒害及污染严重,且使用后废弃的试剂对环境亦造成严重污染。随着人们对环境保护意识的提高,病理工作者在积极努力寻找一种******、无害的环保型试剂,尽量减少危害。我们对哈尔滨格林公司生产的环保型GS套装染液试剂与传统含有二甲苯、氧化汞的HE染液进行制片进行对比,以探讨环保型GS套装染液试剂的性能。
1. 材料与方法
1.1材料
选取临颖县人民医院病理科2013年活检及手术切除的220例蜡块标本,包扩食管、胃、肠、胆囊、阑尾、甲状腺、子宫组织。
1.2 试剂
(1)环保型GS染色制片套液购自哈尔滨格林公司。(2)传统市售化学试剂、甲醛、二甲苯、乙醇、石蜡、含有氧化汞的HE染液。
1.3 仪器
Leica2016切片机,HBTK包埋专用冷冻台,TKY-TP摊片机,TKY-KPA烤片机。
1.4 方法
每个组织蜡块4 pm厚连续切片,将其随机分成 A、B两组进行制片,切片放置75 T:烤片机中烤10 min。A 组按gs无汞染色套液流程进行:脱蜡液i 一脱蜡液n—脱 蜡液m—无水乙醇I 一无水乙醇n—95%乙醇一水洗一无 汞HE染液一水洗一1%盐酸分化一水洗一蓝化液一水洗一 伊红一无水乙醇i一无水乙醇n —除水透明液一透明液一 专用封片胶。B组按照传统HE染色流程进行:二甲苯I 一 二甲苯n+二甲苯m—无水乙醇i 一无水乙醇叮一95%乙 醇一80%乙醇一水洗一HE染液一水洗一 1%盐酸分化一蓝 化液一水洗一伊红一80%乙醇一95%乙醇一无水乙醇I 一 无水乙醇n —二甲苯i一二甲苯n —中性树胶封固。
2. 结果
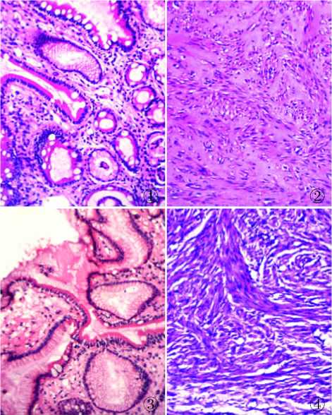
镜下对比观察:使用环保型GS套装染液染色的切片,细胞核无收缩,核染色清晰,核仁清晰可见;HE染色切片颜色鲜明,整体色彩鲜艳,着色均匀,胞质染色适中,组织结构清晰。通过对比A、B两组染色都能够保持良好的组织形态结构,未发现组织和细胞有收缩或肿胀。A组切片染色色彩 更鲜艳、细胞结构清晰、核质对比更分明(图1、2), B组组织结构清晰,细胞染色尚可(图3、4)。
图1胃黏膜组织慢性炎伴有肠化细胞,核胞质对比更清晰,GS染色
图2子宫平滑肌瘤,切片色彩更鲜艳,细胞结构清晰,GS染色
图3胃黏膜组织慢性炎伴有肠化细胞,组织结构清晰,传统HE染色
图4子宫平滑肌瘤,细胞染色尚可,传统HE染色
3. 讨论
新型环保试剂GS套装染色液不含二甲苯、氧化汞、甲醛等有害物质,******、无色、无刺激性,对组织亲和力强,染色速度快,不易产生氧化膜而污染组织。切片长期存放细胞核 不易褪色,染液使用时间长。镜下见组织切片色彩鲜艳,细胞结构清晰,核质对比分明,与传统HE染色效果相比,更能够保持良好的组织形态结构。经对比试验,作者认为GS套液制片效果优于传统试剂,是一种完全可以替代含有二甲苯等传统试剂作为常规病理制片脱蜡、透明、染色的替代品, 其在以下几方面具有明显的优势。
3.1科学环保、危害小
石蜡切片HE染色是当前医院病理科进行病理诊断的常用技术。传统染色过程中,二甲苯被病理实验室大量使用,其极易挥发,是一种对人体具有较强毒害作用的有机化学试剂,长期使用会使人头晕、******、肢体震颤、*********下降等症状。除对病理工作者的健康构成威胁外,如将废弃的二甲苯倒入下水道,造成更大范围的城市水系环境污染。格林GS套液试剂,使用过程中无明显刺激性气味,不含二甲苯等有毒物质,避免工作人员在实验室内接触大量挥发的二甲苯引起的工作环境毒害。
3.2省时省力、效率高
格林GS套液试剂室温下,3 x5 min,即可以对组织切片进行良好的脱蜡,且脱蜡、透明只需5 缸,染色流程时间短,可减少大量的时间消耗,提高工作效率。
3.3低碳减排、省试剂
格林GS套液试剂减少到14缸,减少试剂与原材料的消耗,同时降低废弃物对环境的污染,达到低碳、减排、降低消耗的效果。
3.4染液程序、标准化
每个医院不同科室各自的染液标准很难统即使同一科室,不同人员配置的试剂、处理方法也有不同。严重阻碍了病理技术的程序化、标准化,使质量控制很难达到统一标准。格林GS套液试剂,解决了质量控制的标准化问题,推动病理技术的标准化。
综上所述,格林GS套液试剂达到了病理诊断所需的标准,并且实现了******环保化,能够减少工作人员及环境的伤害和污染,具有创新、健康、环保、优质、******优点的高科技产品,为建立“绿色实验室”奠定良好基础,未来的病理实验室将逐步成为环保型的实验室。让病理学工作者远离有害化学物质、安全工作,意义重大,该染液值得广泛推广。
参考文献
[1] Buesa R J. Histology safety: now and then J . Ann Diag Pathol,2007,11 (5) :334 -9.
[2] Dapson R W. Glyoxal fixation : how it wotks and why it only occasionally needs antigen retrieval[J] . Biotech Histochem, 2007, 82 (3) : 161 -6.
[3] Buesa R J. Histology without formalin[J] . Ann Diagn Pathol,2008,12(6) :387 -96.
[4] 高蓉梅,彭凤翔,李永春.TO型生物制片透明剂取代二甲苯在 病理制片中的应用[J].诊断病理学杂志,2009,12(2) :147.
[5] 赵宝忠.苏木色素染液传统组方的比较分析[J].临床与实验病理学杂志,2013,29(1) :99 -101.下载地址:

登陆会员
注册会员


下载中心
病理论坛在线咨询