GS环保试剂在HPVLI壳蛋白检测技术中的应用
GS环保试剂在HPVLI壳蛋白检测技术中的应用
王莹 张睿 李杜娟 董新敏 王舒欢 杨瑞 孔令非
河南省人民医院病理科
摘自:2014年《临床与试验病理学杂志》
原位杂交技术的广泛应用为各学科的研究带来突破性进展,其对组织标本的常规处理要求越来越高。在日常病理组织处理过程中,甲醛和二甲苯作为病理常规试剂被大量应用。但是传统试剂具有强烈的刺激性和一定的毒性,不利于环保和工作人员的健康。作者尝试应用环保型GS (green specimen)组织样本制备套液制作组织蜡块,并应用原位杂交技术检测HPV L1壳蛋白的表达,以探讨GS环保试剂对HPV L1壳蛋白检测的影响。
1. 材料与方法
1.1 材料
选取2012年1月-2013年5月河南省人民医院病理科存档的子宫颈活检标本236例。经病毒学检测均确诊为HPV感染。(1)主要仪器设备:组织处理采用德国莱卡公司生产的LEICA ASP300S全自动脱水机;组织包埋采用LEICA EG1150H包埋机;组织切片采用LEICA RM2235 切片机。(2)试剂:GS组织样本制备套液(GS组织标本固定液、GS组织标本脱水液、GS组织标本透明液、GS组织标本 浸蜡液)(哈尔滨格林公司)。传统病理脱水试剂包括10% 中******尔马林、二甲苯、乙醇、58-60 T:石蜡(郑州派尼化学 试剂厂提供)。(3)人乳头瘤病毒壳蛋白(HPV L1)染色:采 用CytoReact赛泰细胞/组织人乳头瘤病毒染色试剂盒。
1.2 方法
将选取标本随机平分为A、B两组,A组采用GS 环保试剂脱水包埋。将取完材的标本放入LEICA ASP300S 全自动脱水机经GS组织制备套液进行处理。具体程序步骤及时间如下:(1) GS组织标本固定液I (1缸)固定1 h, GS组织标本固定液I (2缸)固定3 h;(2) GS组织标本脱水 液I (1缸)脱水40 min, GS组织标本脱水液I (2缸)脱水1 h, GS组织标本脱水液n (1缸)脱水40 min, GS组织标本脱 水液H (2缸)脱水1 h;(3) GS组织标本透明液I (1缸)透明1 h, GS组织标本透明液I (2缸)透明1.5 h;⑷GS组织收稿日期:2013 -12-18标本浸蜡液I、H、n浸透各1 h。之后LEICA EG1150H包埋机石蜡包埋,用LEICA RM2235切片机常规3 pm厚切片。B组采用传统病理脱水剂脱水包埋,步骤同上。
依据文献报道1及作者观察发现GS环保试剂与传统试剂在HE形态学对比方面无影响,遂筛选出2组子宫颈上皮内瘤变CIN2组织切片进行HE染色。将两组CIN2病例蜡块再次3 pm厚切片,进行HPVL1壳蛋白原位杂交检测。具体步骤详见CytoReact赛泰细胞/组织人乳头瘤病毒染色试剂盒使用说明书。注意在整个操作过程中应避免玻片干燥。
每个试剂盒设立平行阳/阴性对照片。作为对照的阳、阴性石蜡切片,制作染色步骤同上。
2. 结果
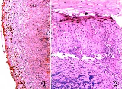
两组CIN2标本病例数如下:A组75例,B组58例。 HPV L1壳蛋白为壳蛋白质,阳性部位在细胞核,胞核呈红色为特异性阳性染色,其它部位的红染均为非特异性染色。镜下见明确被红染的细胞核即可诊断为HPVL1阳性。采用环保型GS组织样本制备套液制作的标本能检测组织中相应抗原,定位准确,背景清晰;经GS环保试剂处理的标本染色效果与传统方法相同(图1、2)。两组标本中HPVL1阳性率,差异无统计学意义(P =0.81,表1)。
表1两组CIN2病例HPVL1壳蛋白阳性表达的差异
|
组别 |
|
|
HPVL1 |
|
|
+ |
阳性率(%) |
|
|
A组 |
75 |
13 |
17. 3 |
|
B组 |
58 |
11 |
19.0 |
|
合计 |
133 |
24 |
36. 3 |
图1传统脱水剂:HPV Ll壳蛋白原位杂交检测效果
图2环保试剂脱水:HPV Ll壳蛋白原位杂交检测效果
下载地址:

登陆会员
注册会员


下载中心
病理论坛在线咨询