格林组织标本制备及切片染色套液在病理实验室中的应用
格林组织标本制备及切片染色套液在病理实验室中的应用
朱卫国 刘春玲 崔芳 陈怡 寇雪梅 孙海涛
武警北京总队第二医院病理科 中国中医科学院广安门医院 哈尔滨市242医院
摘自:2012年第07期《武警医学》
随着人们健康环保意识的不断增强,医学实验室的环保 问题已经备受关注。病理实验室污染主要由传统的石蜡制片苏木素伊红染色方法中不可或缺的甲醛和二甲苯所造成。 为解决这一环保难题,临床一直在寻找替代甲醛和二甲苯的新型病理试剂,但均因效果不稳定或价格高昂而未能推广。 基于健康环保的需求,哈尔滨格林标本技术开发有限公司研发了格林组织标本制备及染色套液(以下简称GS套液)新型环保试剂,本研究对GS套液在我院病理科的使用及其效果进行了评估。
1. 材料与方法
材料临床送检的各种活体组织病理标本共40例,包括胃肠道、肺、食管、皮肤、乳腺、淋巴结、脂肪、子宫、宫颈等组织各2组份,每份标本分别取材2个组织块,分为传统石 蜡制片、染色方法和GS套液石蜡制片、染色方法两组,分别进行组织处理、石蜡制片、HE染色、免疫组化染色,并对比其制片和染色效果。
1.2试剂
GS组织标本制备套液及GS病理切片染色套液,包括无醛组织固定液,环保无苯脱水、透明、浸蜡液,脱蜡液,HE染色液,透明液及封片胶;传统石蜡制片及染色所需试剂为病理科原有,包括10%中性甲醛固定液,梯度乙醇脱水液,二甲苯透明液,石蜡浸液,HE染液及中性树胶封片胶。
1.3方法
1.3.1传统石蜡制片及染色方法
1.3.1.1组织处理及制片常规外检取材后,组织经常规10%中性甲醛固定,梯度乙醇脱水,二甲苯透明,浸蜡,石蜡,包埋,石蜡切片3~5μm。
1.3.1.2石蜡切片染色 ⑴切片经二甲苯I、II缸脱蜡5min;⑵反梯度乙醇各2 min,自来水漂洗;⑶苏木素染色5~8min;⑷1%盐酸乙醇分化液,数秒,自来水漂洗;⑸1%氨水蓝化液,1min,自来水漂洗;⑹0.5%水溶性伊红染浆1min;⑺梯度乙醇脱水各2 min;⑻二甲苯I、II透明各2 min;⑼二甲苯稀释中性树胶封片。
1.3.2 GS套液石蜡制片及染色方法
1.3.2. 1组织处理及制片常规外检取材后,组织经固定液I缸固定1 h, II缸固定3 h;双缸脱水液I脱水40min和1 h,双缸脱水液II脱水30 min和1 h;透明液I缸1 h,透明液II缸1.5 h;浸蜡I、II缸各1. 5 h;石蜡包埋,石蜡切片3 ~5μm。
1.3.2.2石蜡切片HE染色方法(1)切片经脱蜡液I、II各5 min,自来水漂洗2 min;(2)苏木素染液3 ~5 min;自来水漂洗10 s;(3)1%盐酸乙醇分化液2 ~3s; (4) 1%氨水蓝化液,1 min,自来水漂洗1 min;(5)伊红染色液1 ~3 min,自来水漂洗3 s; (6)除浮染液3 s,沥干;(7)除水透明液1 s,沥干;(8)透明液3 min; (9)无苯封片胶封片。
1.3. 3 传统方法和GS套液组织处理及切片染色程序对比在标本制备和切片染色处理环节相同的情况下,对比GS套液石蜡制片及染色方法较传统方法操作步骤和染色时间上的不同之处。
1.3.4结果判定标本取材及组织处理分组专人负责,切片及染色过程由两组负责人交换进行;常规石蜡切片和HE 染色质量标准参照《病理学技术》1 ,甲级切片判定标准:(1)切片完整,厚度4 ~6 μm,薄厚均匀,无褶无刀痕;(2)染色核浆分明,红蓝适度,透明洁净,封裱美观。
2. 结 果
2.1 GS套液和传统方法试剂理化特性优缺点对比
组织处理方面,GS套液比传统方法具有很大的优势,两种试剂的固定液、脱水液理化特性对比见表1、2。在透明液理化特性方面,GS套液透明无色、无味、******,属I类有机溶剂,对组 织处理柔和;而二甲苯透明无色、有强烈刺激味,有毒,对组织收缩性强,易使组织变硬变脆。
2.2组织处理和染色步骤对比与传统方法相比
GS套液方法组织处理程序由传统方法的13步减至6步,而HE染色程序由传统方法的22步减至7步,更加易于操作,效果良好。处理后的组织,脱水、透明及浸蜡彻底,组织石蜡包埋紧密,尤其是皮肤、脂肪、淋巴结和肌瘤等组织处理效果优于传 统石蜡方法。
2.3石蜡切片效果对比
经GS套液处理后的组织石蜡,石蜡切片柔韧适中,厚薄均匀,连续性好,与传统方法处理较好的组织蜡块切片效果相当,对于传统方法难切的组织效果更佳。
2.4 HE染色效果对比
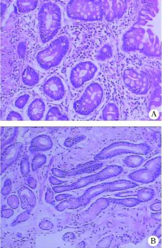
GS套液方法石蜡切片HE染色程序简单,染色速度快,染液渗透均匀,色彩鲜亮,核浆对比清 晰,形态结构显示清楚,与传统HE染色方法基本相同,且效果稳定(图1)。
表1 GS套液和传统方法组织处理固定液理化特性对比
|
GS套液固定 |
10%中性甲醛液固定 |
|
无色、微有醇类气味、******(I类 有机溶剂配剂),中性 |
无色、有强烈刺激味,有毒,中性 |
|
无异源性色素影响,固定后不用 水洗,为复合型固定剂。 |
甲醛色素沉淀,影响正常染色,必 须经过水洗去掉色素 |
|
为蛋白质沉淀性固定剂,使蛋白 质沉淀,更能较好地固定染色体、 糖原、酶类等细胞内结构,对脂肪 固定好 |
非蛋白质沉淀性固定剂,通过使 蛋白质分子发生交联而产生作用 |
|
不影响免疫组织化学染色结果 |
影响免疫组织化学染色,固定后 与蛋白质发生反应,遮盖了组织 的抗原,必须通过特殊方法修复 抗原,在一定程度上影响了免疫 组化结果 |
表2 GS套液和传统方法组织处理脱水液理化特性对比
|
GS套液脱水 |
梯度乙醇脱水 |
|
无色、微味、****** |
无色、醇味、****** |
|
脱水效果好 |
定期更换试剂,否则很难保证组织内无水 |
|
宽容度好,可同时处理大小不同 组织时间一样,软硬适中,利于切片 |
时间过长易造成组织过度硬化, 造成切片困难,特别是大小组织处理时间不同 |
|
脂肪、淋巴结、平滑肌等特殊组织 处理的效果好 |
脂肪、淋巴结、平滑肌等组织不易 处理,不是过软就是过硬 |
2.5免疫组化染色效果免疫组化染色阳性率和阳性强度与传统病理技术效果一致(图2)。

图1传统方法和GS套液方法HE染色效果对比
图2 GS套液方法免疫组化染色
GS 套液方法:c-erbB-2( x400) ;B. GS 套液方法:MDR( x400) ;C. GS 套液方法:P53( x400) ;D. GS 套液方法:nm23( x400)
2.6环境污染情况分析
采用GS组织标本制备套液及GS 病理切片染色套液后,基本实现了工作环境的******化。从取材、脱水、透明、浸蜡、包埋到切片、染色、封片全过程,尤其在大标本固定后取材、人工染片、中性树胶封片及镜下阅片时,克服了传统方法甲醛和二甲苯所带来的人体危害和实验室内外环境的污染。
3. 讨论
近百年来,常规甲醛固定、乙醇脱水、二甲苯透明、石蜡 包埋、石蜡切片和HE染色等组织病理学技术,以其稳定的效果_直为国内外病理实验室所沿用。然而传统组织病理学技术中有毒化学试剂的使用也同时威胁着病理工作者的健康并造成严重的医源性环境污染,其中用量大、危害重的试剂以甲醛和二甲苯为突出。
甲醛的缺点主要是具有强烈的刺激性和腐蚀性,因挥发性强、防护困难而造成实验室内外环境的污染,长期接触会对呼吸系统、神经系统、造血系统造成损伤,甚至诱发恶性肿瘤,2004年WHO已宣布甲醛为致癌物质;组织经甲醛固定后,会引起蛋白交联反应,对免疫组化和分子生物学研究产生影响。二甲苯作为***常用的苯类试剂大量应用于病理组织处理和染色的过程中,其毒害作用已十分肯定,主要是对************、植物神经和皮肤黏膜产生刺激作用,也是明确的致癌物质之一。如果大量含有甲醛、二甲苯、氣化汞及石蜡的实验室废液不经专业处理直接排入下水,会造成周边环境的严重污染,但若进行专业回收处理又会大大提高成本。
随着分子生物学的快速发展和对医学实验室环评标准的逐步提高,使用环保试剂、创建“绿色”实验室已是大势所趋,研发替代甲醛、二甲苯的病理试剂也是病理工作者多年的愿望。国内外已有使用甲醛、二甲苯替代产品的相关报道,但尚缺乏成熟和大样本的相关技术报道。有学者尝试在甲醛溶液中加入添加剂以减少甲醛的挥发,用脱色汽油、硬脂酸、异丙醇、松节油等替代二甲苯,虽取得一定效果,但也存在许多弊端。
本实验采用由哈尔滨格林标本技术开发有限公司研发的新型环保GS组织标本制备及染色套液,在病理技术方面, 尤其是替代有毒试剂甲醛、二甲苯,取得了突破性成功,经我院病理实验室应用后效果良好且稳定。
经本实验研究证明,与传统技术相比,GS组织标本制备 及染色套液的优势在于:(1)在组织固定、脱水、透明、染色、封片技术中,全程替代了毒害试剂的使用,新型试剂可以自动降解,避免了对环境的医源性污染,实现了创建绿色环保型病理实验室的目标;(2)固定剂渗透性强,并能较好的保护 组织抗原和核酸成分;(3)脱水效果稳定,大小组织标本可以 同时处理,未出现过脱或不足的现象;(4)透明剂渗透彻底, 作用温和,组织软硬度适中,充分保证了切片质量,尤其对韧度较强的组织,切片质量优于传统技术;(5)病理切片脱蜡和 染色脱水后透明处理理想,封片胶不用二甲苯稀释;(6) GS 苏木素染液不含氣化汞,不产生氣化膜,HE染色快速均匀, 色彩鲜明,核浆对比明显;不需自行配制,便于实验室质量控
制。其缺点在于与传统方法相比,试剂价格相对偏高,更适 合于标本量较大的病理实验室。
本实验证明,新型环保GS组织标本制备及染色套液具 有创新性和实用性,组织处理、制片及染色效果稳定可靠,能够满足常规病理和免疫组织化学等需求,其实际应用效果与传统病理技术效果相一致,具有良好的应用前景,值得病理实验室广泛推广。
下载地址:

登陆会员
注册会员


下载中心
病理论坛在线咨询