环保型GS试剂在特殊染色中的使用
环保型GS试剂在特殊染色中的使用
信芳杰 管静静 邵世宏 赵涵 计晓彬
青岛大学附属医院
摘自:2014年《临床与实验病理学杂志》
现代病理学中免疫组化、细胞及分子生物学技术的应用日益广泛,由于这些技术需要较高的实验条件和昂贵的试剂而难以普及。特殊染色技术以其操作简单、检测快速和成本低廉等优势,在临床病理学诊断中仍具有重要的应用价值。病理实验室的环保问题日益受到关注,甲醛、二甲苯严重影响环境和健康,寻求一种无刺激性气味、******无害的替代品已成为病理工作者的迫切愿望。新型环保试剂在常规HE 染色中已有出色表现,本科室在特殊染色中使用新型保试剂也取得满意效果,现介绍如下。
1. 材料与方法
1.1材料选取青岛大学附属医院病理科2011年12月——2013年12月。各类手术及活检组织标本,包括肾脏穿刺组织、皮肤、骨髓、肺、膀胱、胃、肝等,每份标本均常规取材2 份,分别进行传统石蜡制片及染色、GS环保试剂制片及染色。
1.2试剂与仪器传统石蜡制片及染色试剂包括10%中 ******尔马林、梯度乙醇、二甲苯、石蜡;GS环保试剂包括固定液、脱水液、透明液、浸蜡液、除水透明液、GS苏木精,均为哈尔滨格林公司产品。特殊染色试剂包括PAS染色、Masson 染色、六胺银染色、PASM-Masson染色、抗酸染色、刚果红染色、黏液卡红染色、网状纤维染色、弹力纤维染色等,由珠海 Baso公司提供。主要仪器有脱水机Leica ASP300,切片机 Leica 2235,全自动染色机Leica ST5020和封片机Leica CV5030。
1.3方法
1.3.1传统石蜡制片常规取材后,经10%中******尔马林固定,梯度乙醇脱水、二甲苯透明、浸蜡,石蜡包埋。
1.3.2传统染色方法切片经二甲苯脱蜡、梯度乙醇脱水、流水冲洗,按照各种特殊染色的步骤进行染色、梯度乙醇脱水、二甲苯透明、中性树胶封固。
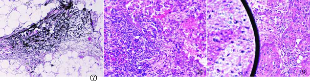
图7动脉血管周围组织切HE染色,甲醛色素沉积,影响切片清晰和美观
图8肺组织切片HE染色,染片后脱水不彻底,出现镜下水印
图9肾脏组织切片HE染色,出现气泡,既影响美观,又妨碍阅片
1.3.3GS环保试剂制片采用双置法脱水方案:GS无醛固定液分别为60、180 min;75%乙醇5 min、5%乙醇5 min;脱水液I分别为30、60 min;脱水液n分别为30、60 min;透 明液分别为30、60min;浸蜡液11匕浸蜡液11匕石蜡包埋。
1.3.4GS环保试剂染色脱蜡液I、n各5 min;梯度乙醇脱水、流水冲洗;按照各特殊染色的步骤进行染色;除水透明液2 min;透明液I、n各2 min;无苯胶封固。
2. 结果
2.1制片使用GS环保试剂制作的组织蜡块,所做切片软硬适中,连续性好,厚薄均匀,尤其皮肤、子宫肌瘤等硬韧组织处理后有较好的柔韧度;肾脏穿刺组织较传统方法更易切出较薄切片;对脂肪组织处理彻底,能切出完整切片。
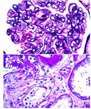
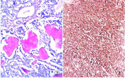
2.2染色石蜡切片经GS染色套液处理后,11种特殊染色结果稳定,组织结构清晰,着色部位准确,色泽艳丽分明 (图1 -4),且染色时间缩短,完全可以替代传统染色试剂。
图1肾小球************袢僵硬、基膜弥漫性增厚,外周袢分层、双轨状,内皮下、上皮侧大量嗜复红物沉积,PASM-Masson染色
图2肾小球入球小动脉管壁及肾小管基膜透明样变性,PAS染色
图3甲状腺髓样癌内淀粉样物质形成,刚果红染色
图4骨髓增生异常综合征呈阳性,网状纤维染色
3. 讨论
目前,虽然分子生物学方法已渗透到各个领域,但许多传统的病理学特殊染色方法仍然是显示病原体、组织及细胞内特殊结构经济、简便且可靠的方法。在传统制片染色中,甲醛为常规固定剂,二甲苯为******组织透明剂,但甲醛和二甲苯已经被******卫生组织确定为致癌和致畸形物质。格林GS新型环保试剂******、无醛、无刺激性气味,环保脱水液和透明液渗透均匀、稳定,作用快速温和,组织处理软硬适中,不易导致组织过度收缩,出现组织过硬现象。本科室在日常工作中,GS环保套液与全自动脱水机、染色封片工作站配合使用,不仅更加安全环保,也有利于染色的质量控制。
本科室进行的十几种特殊染色中,经格林GS新型环保试剂处理,糖原、淀粉样物质、网状纤维、含铁血黄素、抗酸杆菌等均取得较好的固定效果,特殊染色结果色彩分明,对比清晰,能够清楚显示肾小球************基膜病变、肾间质小动脉的玻璃样变性、骨髓穿刺组织中网状纤维分布、甲状腺髓样癌中沉积的淀粉样物质等,其染色效果与传统制片染色方法相当,能够很好应用于病理诊断。
综上所述,格林GS组织标本制片及染色环保套液可以替代传统的以甲醛和二甲苯为主体的制片流程,大大降低了日常工作中有毒气体的浓度,不仅可以制作出可靠稳定的组织切片,还有效保证了技术人员和环境的健康安全。另外,GS环保试剂在骨髓穿刺石蜡切片5、免疫组化1、荧光定量 PCR 6等检测中,均有稳定的表现,若能充分发挥其优势,将大大改善病理技术的工作环境,带来真正的绿色实验室。
参考文献
[1] 鹿伟,董贺.环保组织固定脱水系列套装试剂在病理技术中的应用[J].诊断病理学杂志,2012,19(2) :160.
[2] 朱卫国,刘春玲,崔芳,等.格林组织标本制备及切片染色套液在病理实验室中的应用[J].武警医学,2012,23(7) :610 - 2.
[3] 刘红刚,张盛忠,张勇,等.重视病理特殊染色方法的使用[J].临床与实验病理学杂志,2003,19(3) :309 -10.
[4] 丁文清,潘小川.室内污染物与白血病关系研究进展[J].环境与健康杂志,2006,23 (1) :83 -4.
[5] 缪勇建.GS环保试剂套装在骨髓穿刺石蜡切片中的应用[J].诊断病理学杂志,2011,18(4):3.
[6] 张进华,肖莎,李显,等.比较GS环保试剂与常规试剂制备的组织样本在荧光定量PCR中的效果[J].诊断病理学杂志,2011,18(5):3.下载地址:

登陆会员
注册会员


下载中心
病理论坛在线咨询