GS环保型试剂在病理技术工作中的应用体会
GS环保型试剂在病理技术工作中的应用体会
易红梅 李艳春 钟仁华 陈志
摘自:2014年04期《临床与实验病理学杂志》
病理组织标本的处理是病理技术中的关键,直接决定常规制片、特殊染色、免疫组化、原位杂交、PCR等一系列检测的结果。一直以来,病理工作者均采用10%中******尔马林作为组织样本的固定液,用二甲苯对组织进行透明处理,这两种试剂不仅污染环境,且对病理工作者的身心健康危害严重。因此,寻找一种既可以替代甲醛和二甲苯固定和处理组织样本又对人体和环境没有危害的试剂显得非常必要。作者采用GS环保型组织固定及脱水试剂代替传统试剂做了初步的、短期的实验,主要包括组织处理后的石蜡包埋、HE染色、免疫组化染色以及Masson、PAMS、PAS等特殊染色。
1. 材料与方法
1.1 标本
收集湖南省人民医院2011年7-9月临床送检新鲜快速标本312例,冷冻快速诊断报告发出后,每例标本的病变组织分成两份,一份用福尔马林固定,传统乙醇脱水、二甲苯透明,另一份用GS试剂固定、脱水及透明。该实验所取的组织包括肝脏、甲状腺、乳腺、肾脏(包括肾脏穿刺标本)、胆囊、结肠、胃、淋巴结、子宫、卵巢、胰腺、脑组织、肺组织、畸胎瘤等。
1.2 仪器与试剂
1.2.1 主要仪器
LEICA ASP300S 全自动脱水机、湖北泰维TB-718D2型生物组织自动包埋机、HSANDON FI-NESSE325石蜡切片机、HSANDON Varistain Gemini自动染色机。
1.2.2 主要试剂
GS环保固定和脱水试剂由哈尔滨格林公司研制并生产,所有检测的抗体及免疫组化试剂盒EliVi-sion均购自福州迈新公司。
1.3 方法
1.3.1 组织处理
标本充分固定后取材,1.5cm×1.5cm×0.2cm大小,然后进行脱水、透明及浸蜡处理。传统福尔马林固定、乙醇脱水、二甲苯透明及浸蜡程序与GS环保试剂处理程序分别按常规步骤和GS试剂说明书操作进行。另外肾穿刺活检标本也用两种方法进行处理,进行实验比较,由于肾穿刺标本较小,我们采用手工单独处理,具体程序如下:传统方法:乙醇-甲醛固定液(甲醛:95%乙醇为1:9)固定约26h,70%乙醇40min,80%乙醇40min,95%乙醇60min,无水乙醇60min,二甲苯20min,浸蜡40min;GS试剂处理步骤:固定液固定约26h,脱水液I60min,脱水液II60min,透明液20min,浸蜡40min。
1.3.2 全自动HE染色法
组织经脱水、透明、浸蜡处理后用自动包埋机包埋,石蜡切片机切片,约4μm厚切片,其中肾脏穿刺活检组织约2μm厚切片。然后用自动染色机进行HE染色。两份标本HE染色程序一致,具体操作步骤如下:(1)切片于70℃烤片10min后经二甲苯I、II、III脱蜡各3min;(2)无水乙醇、90|%乙醇各2min,自来水洗1min;(3)苏木精染8min,自来水洗1min;(4)0.5%盐酸分化5s,自来水洗10min;(5)0.5%水深性伊红染色10s;(6)70%乙醇、95%乙醇各10s,无水乙醇I、II各2min,二甲苯I、II各2min,中性树胶封固。
1.3.3 特殊染色
本组实验采用PAS、Masson、PAMS及Go-mori银染法分别检测肾脏、结肠癌、扁桃体和肝脏等组织中的基膜、中性黏液、免疫复合物及网状纤维。具体染色步骤均参考《临床技术操作规范病理学分册》中的方法进行。
1.3.4 免疫组化
采用IliVision Super/HRP法检测结直肠癌、胃癌、乳腺癌、胆管细胞癌、肝细胞癌、乳腺癌、甲状腺癌、肾细胞癌、子宫颈癌、子宫内膜腺癌、星型胶质细胞瘤、扁桃体等组织中40余种抗原的表达,包括CK(AE1/AE3)、CK5/6、CK19、CK7、CK20、CK5、CK34、Hepa-1、G1Y-3、RCC、p120、E-Cadherin、CD68、TTF-1、villin、CDX-2、CEA、CA199、D2-40、CD34、CD31、SMA、actin、S-100、Syn、NSE、CgA、GFAP、ER、PR、C-erbB-2、P63、CD20、CD45RO、CD3、CD79a、BCL-2、BCL-6、Cyclin、D1、Ki-67、p53、PCNA。
2. 结果
2.1 脱水、透明、浸蜡及HE染色
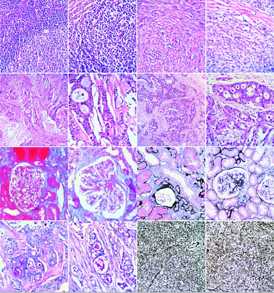
312例GS试剂处理的组织与传统方法处理的组织相比,未发现脱水不佳及变硬、主脆等不良现象,切片与摊片效果均较好。HE染色结果显示:胞质和胞核染色均匀一致,对比鲜明,结构清晰,但组织稍有收缩,细胞间有少许裂隙(图1)。石蜡块保存半年后未发现组织册陷、发霉等现象,且HE染色仍然良好。
2.2 特殊染色
结果显示阳性物质定位准确,色泽鲜艳:PAS染色可以清晰地显示肾小球基膜及结肠癌组织中的中性黏液;Masson染色可显示肾小球的免疫复合物;PAMS染色可显示肾小球基膜及系膜:Gomori银染显示扁桃体、肘脏网状纤维染色良好(图2)。
2.3 免疫表型
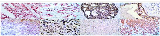
GS试剂处理的标本绝大部分抗原保存良好,阳性信号强、定位准确,无背景染色,与传统方法处理的标本染色效果一致。对40余种抗原进行检测,发ER、PR和Hepa-1的染色效果弱于传统方法,甲状脱组织中TTF-1抗原染色不着色(图3)。
图1 GS环保型固定、脱水试剂处理标本HE染色结果:A1.GS(扁桃体;A2传统方法(扁桃体);B1.GS(平滑肌瘤);B2.传统方法(平滑肌瘤);C1.C2.GS(乳腺癌);C3.C4传统方法(乳腺癌) 图2 GS 环保型组织固定、脱水试剂处理组织特殊染色结果:A1.GS处理肾组织,Masson染色;A2.传统方法处理肾组织,Masson染色;B1. GS处理肾组织,PAMS染色;B2.传统方法处理肾组织,PAMS染色;C1.GS处理结肠癌组织,PAS染色;C2.传统方法处理结肠癌组织,PAS染色;D1.GS处理扁桃体组织,Gomori银染法;D2.传统方法处理扁桃体组织,Gomori银染法。
图3 GS环保型组织固定、脱水试剂处理组织免疫组化染色结果:A1.GS处理结肠癌(Ki-67);A2.传统方法处理结肠癌(Ki-67);B1.GS处理乳腺癌(C-erbB-2);B2.传统方法处理乳腺癌(C-erbB-2);C1.GS处理乳腺癌(PR);C2.传统方法处理乳腺癌(PR);D1.gs处理肝脏(Hepa-1);D2.传统方法处理肝脏(Hepa-1)。
3. 讨论
采用甲醛固定、乙醇脱水、二甲苯透明、石蜡包埋组织的病理技术已经使用100余年,组织处理完毕后进行常规HE染色、特殊染色、免疫组化染色,均能获得满意的结果,能满足病理诊断的要求;传统方法处理的组织其DNA保存较完整,可以进行PCR、原位杂交等分子病理检测。但是,从环保、健康的角度来看,传统组织处理及制片过程中使用甲醛和二甲苯对工作人员和外界环境造成很大的毒害和污染。在临床病理工作中,理想的组织固定及脱水试剂应该是******环保,对组织和细胞结构、蛋白质、DNA以及RNA保存良好,且在较长时间内蜡块无凹陷、DNA和RNA无降解,HE染色、特殊染色、免疫组化染色及原位杂交等分子病理检测均能取得满意结果。
目前,国内外已有用无醛无苯环保试剂进行组织处理及制片的相关报道。作者采用哈尔滨格林公司研发的GS环保试剂与传统试剂进行初步比较,结果显示:GS试剂组织渗透性强,可以缩短脱水时间;能较好地保持组织及细胞的结构,不易导致组织脱水不彻底和过度收缩;能完整的切取各种不同厚度要求的切片;HE染色着色均匀,色泽鲜艳,胞质、胞核红蓝分明。PAS、Masson、PAMS、Gomori银染等特殊染色分别清楚地显示基膜及中性黏液、肾小球免疫复合物、肾小球基膜和系膜、网状纤维等阳性物质,且定位准确,与田玉旺等的结果一致。此外,实验也发现GS试剂能很好地保存组织听部分蛋白质,免疫组化染色强度与传统方法处理结果类似,定位良好。但采用不同的修复温度、时间和pH值对ER、PR和Hepa-1重复染色后发现GS试剂处理的组织染色强度弱于传统方法,与文献报道结果类似。同眉头主腺组织中TTF-1抗原未染色,可能与抗原种类有关,可以尝试通过检测不同公司提供的心想事成、不同克隆号的抗体、摸索抗原修复方法等来解决。
通过环保型GS组织样本制备液和传统试剂处理组织制片后的HE染色、特殊染色以及免疫组化等一系列初步比较分析,发现染色结果均能满足病理诊断的要求,该环保试剂可以替代传统试剂用于病理组织固定、脱水处理。我地进一步通过原位杂交、PCR等方法检测GS试剂对核酸(DNA和RNA)的保存效果及GS试剂长期固定标本后对常规制片、免疫组化‘原位杂交、PCR等检测是否有影响。
参考文献
[1] 中华医学会编著.临床技术操作规范病理学分册[M].北京:人民军医出版社,2004:130-69.
[2] 罗小平,赖均鹏,吕志倩,等.环保型生物组织透明剂替代二甲苯在病理组织透明中的应用及比较[J].临床与实验病理学杂志,2011,27(8):903-4.
[3] Moelans D B,ter Hoeve N,van Ginkel J W,et al. Formaldehyde substitute fixatives analysis of macroscopy,morphologic analysis,and immunohistochemical analysis [J] .Am J Clin Pathol,2011,136(4):548-56.
[4] 田玉旺,朱红艳,李琳等,GS环保试剂在病理制片技术中的应用[J].诊断病理学杂志,2011,18(4);312-3.
[5] 李冬梅,孙丽萍,王德田,等,环保型无醛固定液与甲醛固定液的比较[J].诊断病杂志,2012,19(4):3.下载地址:

登陆会员
注册会员


下载中心
病理论坛在线咨询