GS组织固定脱水系列套装试剂的应用报告
GS组织固定脱水系列套装试剂的应用报告
鹿伟
山东省千佛山医院病理科
传统的病理技术自十九世纪创立以来一直沿用至今,它采用的是甲醛固定、乙醇脱水、二甲苯透明、石蜡包埋的石蜡切片、苏木精-伊红染色。虽然这是一个良好的组织病理技术方法,但是以今天的眼光看,传统染色方法中大量使用的甲醛和二甲苯,存在着对职业工作环境和排放后对生活环境的毒害和污染,其技术自身已经无法满足人们对健康和环保的要求。
1. 材料与方法
1.1 试剂
GS组织固定脱水系列套装试剂由哈尔滨格林标本技术开发有限公司研制并生产。
v组织固定液
v组织脱水液Ⅰ
v组织脱水液Ⅱ
v组织透明液
v浸蜡液Ⅰ
v浸蜡液Ⅱ
1.2 方法
1.2.1 初期试用
参照2010年全国病理技术进展和应用研讨会中,中华医学会病理分会技术学组推广使用的“双置法”,对格林组织固定脱水系列套装试剂进行试用。
1.2.2 大批量应用
每日将100左右的常规标本组织块放入全自动脱水机处理,已连续使用一年多,共计处理28000个组织块。
2. 结果
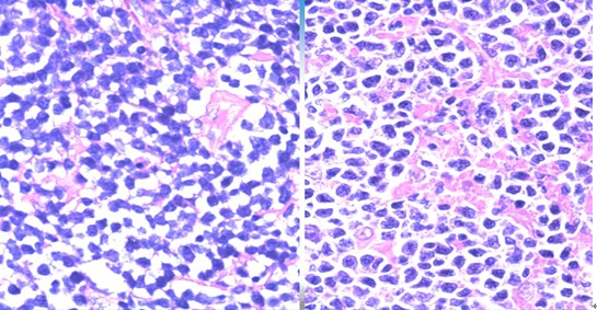
GS组织固定液的穿透速率强,对组织细胞形态的固定效果良好,可以替代甲醛对病理标本进行固定。并且与甲醛相比,该固定剂即使较长时间的后固定也不致使组织块过度硬化。该GS套装试剂的组织处理宽容度较高,大小组织可同时进行处理,经该系列试剂处理包埋的硬韧组织如子宫肌瘤组织、纤维肌瘤组织、皮肤组织等具有较好的柔韧度,有利于切片并较大幅度节省切片刀片。切片的感觉也没有异常的发硬或者太软等脱水过度或不够情况,切片在原来HE染色程序里同时进行,结果还是用格林脱水包埋系列的片子,在高倍镜下分辨更清晰(图1)。
GS组织固定脱水套装试剂对人、兔、大鼠和小鼠等组织的石蜡切片进行免疫组织化学(图2)、原位杂交(ISH)、和细胞凋亡-Tunel的染色。其结果均符合病理临床技术操作规范的要求。
3. 讨论
甲醛、二甲苯均无色透明、易挥发,具有高刺激性和腐蚀性。国内外医学研究已证明,人体皮肤直接接触甲醛、二甲苯会引发过敏反应、皮肤炎或湿疹,长期接触的人群,体内白细胞数量明显下降,严重时可能会引起慢性呼吸系统疾病、癌症发生,如鼻咽癌、结肠癌、脑瘤、白血病,导致记忆力和智力下降。2004年WHO正式宣布甲醛、二甲苯为致癌物质,同时提醒人们要重视其致癌性,并采取预防措施。
减少或完全替代甲醛和二甲苯毒害试剂的应用,建立一套替代技术取代石蜡包埋切片中毒害试剂的使用是一项意义重大的工作。GS组织固定脱水系列套装试剂由哈尔滨格林标本技术开发有限公司经过长时间的研究探索,终于开发出了******首创的全新病理技术平台—组织固定脱水系列套装试剂,它是国内******个专业厂家推出的******套环保型套装系列试剂。
经上述实际技术测试,结果显示: = 1 \* GB3 ①该系列试剂完全可以替代传统的以甲醛、二甲苯为主体的石蜡切片技术流程,完全满足和达到病理诊断技术要求,减少了室内有毒有害气体的污染和毒害作用,同时杜绝大量排放此类毒害化学物质对生活环境的污染。 = 2 \* GB3 ②哈尔滨格林标本技术开发有限公司推出的环保型组织固定脱水系列套装试剂,真正意义上实现了健康、环保、优质、******。期望广大病理界的同道们为了环境的可持续发展和自己的身体健康,积极参与到GS新型环保试剂的应用和技术实践中来,为此类新型环保型试剂技术性能的提高和不断完善提供更加充分详实的技术信息和使用经验,从而真正实现绿色病理。
下载地址:

登陆会员
注册会员


下载中心
病理论坛在线咨询